症例・治療例紹介
Cases
矯正歯科治療 → 審美装置
1ページ目 / 39
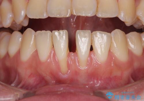
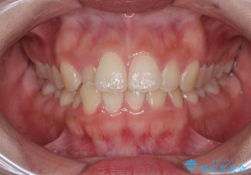
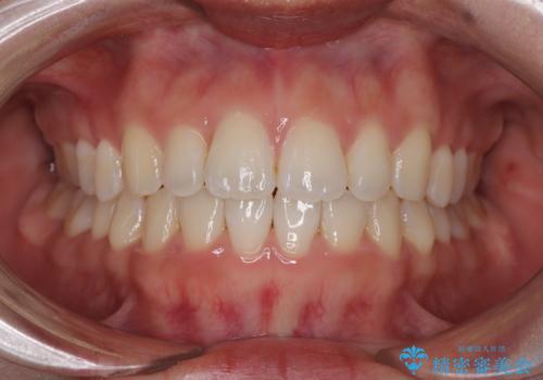
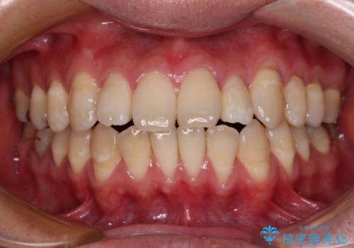
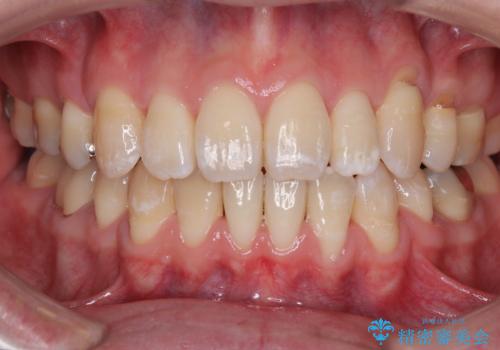
[セラミック治療] 前歯の審美治療に伴う矯正治療
![[セラミック治療] 前歯の審美治療に伴う矯正治療の症例 治療前](https://seimitsushinbi.jp/wp/wp-content/uploads/2025/07/f4514efaf8f4c349983b616a2063fe7c-500x350.jpg?v=1753874062)
![[セラミック治療] 前歯の審美治療に伴う矯正治療の症例 治療後](https://seimitsushinbi.jp/wp/wp-content/uploads/2025/07/IMG_9983-2-500x350.jpg?v=1753874235)
八重歯と歯のズレを解消し、整った笑顔へ
担当医 河口智英


歯のデコボコ|口ボコ|八重歯が気になる!|ワイヤー矯正


がたつきと出っ歯 ワイヤー矯正での歯並び改善


急速拡大装置 狭い骨幅を拡大した上で、口元の突出感を改善する抜歯矯正治療


出っ歯を治したい ワイヤー装置での抜歯矯正
担当医 藤巻太一朗


【審美装置】抜歯の本数最小限で行った矯正治療


【審美装置】前歯で噛めない!抜歯しないで治したい


[マルチブラケットで後方移動] ワイヤー矯正で行う噛み合わせの改善
担当医 大元洋佑
![[マルチブラケットで後方移動] ワイヤー矯正で行う噛み合わせの改善の症例 治療前](https://seimitsushinbi.jp/wp/wp-content/uploads/2025/07/IMG_9979-500x350.jpg?v=1752216760)
![[マルチブラケットで後方移動] ワイヤー矯正で行う噛み合わせの改善の症例 治療後](https://seimitsushinbi.jp/wp/wp-content/uploads/2025/07/IMG_6642-500x350.jpg?v=1752216655)
正中過剰埋伏歯で生じた前歯の審美障害 矯正治療での改善


外れるブリッジと気になる八重歯 総合歯科治療で美しい口元に


矯正の後戻りによるすきっ歯と歯肉退縮 根面被覆と部分矯正


ワイヤー矯正歯科治療の注意事項(リスク・副作用など)
- 治療中は違和感や痛みが起こることがあります
- 症状により、抜歯が必要な場合があります
- 治療中は歯磨きがしにくくなるため、虫歯や歯周病になりやすくなります
- 矯正治療後の保定が不十分だと後戻り(元の位置に戻ろうとする動き)をします
- 自費診療(保険適用外)となります






