症例・治療例紹介
Cases
矯正歯科治療 → マウスピース
1ページ目 / 22
【インビザライン】右側のがたつき治したい


【部分矯正】必要最低限の移動でガタつきを改善する


インビザライン矯正 閉じずらい口元を歯を抜かずに改善


受け口を治したい インビザライン矯正


インビザライン矯正 短期間で出っ歯を改善


【モニター】インビザライン 前歯の捻れを治したい


【インビザライン】歯の本数少ないのにがたつきがある セラミックインレー


【インビザラインモニター】前歯のがたつき気になる


前歯のがたつき 保険治療の前歯の被せ物もやりかえたい


マウスピース矯正の注意事項(リスク・副作用など)
- 口腔内・歯並びの状態によっては対応できない場合があります
- マウスピース型矯正装置の長時間装着が必須です
- 治療計画通りに進めるためには、患者様の意志が重要になります
- 矯正治療後の保定が不十分だと後戻り(元の位置に戻ろうとする動き)をします
- 自費診療(保険適用外)となります









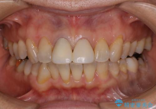
![[インビザラインモデレート] 抜歯矯正後の後戻り 出っ歯を治したいの症例 治療前](https://seimitsushinbi.jp/wp/wp-content/uploads/2025/05/IMG_4903-500x350.jpg?v=1746627186)
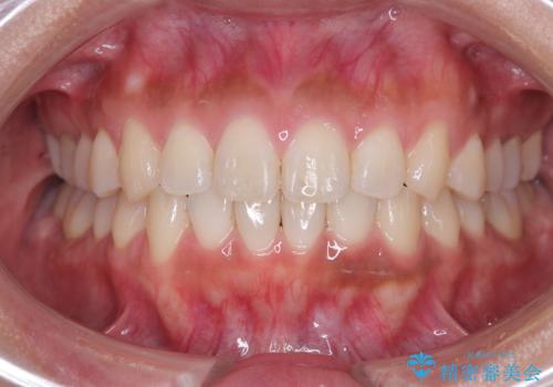
![[インビザラインモデレート] 抜歯矯正後の後戻り 出っ歯を治したいの症例 治療後](https://seimitsushinbi.jp/wp/wp-content/uploads/2025/05/P1463303-500x350.jpg?v=1746627320)

