症例・治療例紹介
Cases
矯正歯科治療 → メタル装置
1ページ目 / 7
【モニター】とがった口元を抜歯して改善 ワイヤー装置の矯正治療
担当医 藤巻太一朗


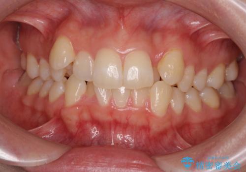
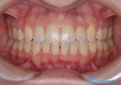
【モニター】八重歯と正中を改善 ワイヤー装置の抜歯矯正
担当医 藤巻太一朗


【モニター】舌突出癖で隙間が ワイヤー装置での抜歯矯正


【モニター】口が閉じられない ワイヤー装置での抜歯矯正
担当医 藤巻太一朗


【モニター】飛び出した上の前歯 非抜歯矯正で整った口元に
担当医 藤巻太一朗


八重歯と上顎前突 ワイヤー装置での抜歯矯正


マウスピース矯正が煩わしい ワイヤー装置での非抜歯矯正
担当医 藤巻太一朗


デコボコと口元の突出感を改善 抜歯矯正治療


突出した口元 ワイヤー装置で横顔の印象を改善
担当医 藤巻太一朗


インビザラインが続けられない ワイヤー矯正に切り替えてデコボコを改善
担当医 藤巻太一朗


上顎前突をしっかりと治す 補助装置を使用したワイヤー矯正


楽してデコボコを治したい ワイヤー矯正治療


八重歯を無理なくなおしたい ワイヤー装置による非抜歯矯正治療
担当医 藤巻太一朗


【モニター】飛び出した上顎前歯を抜歯矯正で引っ込める ワイヤー装置の抜歯矯正治療


ワイヤー矯正歯科治療の注意事項(リスク・副作用など)
- 治療中は違和感や痛みが起こることがあります
- 症状により、抜歯が必要な場合があります
- 治療中は歯磨きがしにくくなるため、虫歯や歯周病になりやすくなります
- 矯正治療後の保定が不十分だと後戻り(元の位置に戻ろうとする動き)をします
- 自費診療(保険適用外)となります


