症例・治療例紹介
Cases
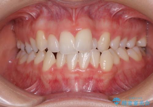
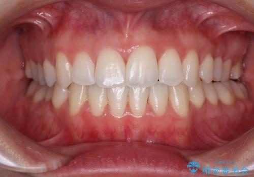
矯正歯科治療 → 顎のゆがみ
1ページ目 / 3
むし歯と八重歯を治したい 総合歯科治療


非抜歯、ワイヤーでの矯正治療。歯のがたつき、顎のズレ、出っ歯を治す。インビザラインが使えない方


骨格的な問題を側方拡大で解決 ワイヤー矯正治療


【モニター】顎のゆがみをカムフラージュ ワイヤー装置の抜歯矯正


顎が左右にずれた咬み合わせ ハーフリンガルの抜歯矯正


前歯の反対咬合、奥に引っ込んでしまっている歯をインビザラインで治療する


非抜歯で劇的に出っ歯を改善!インビザラインとカリエールの組み合わせ治療


【インビザライン、10ヵ月で矯正終了!】下の前歯が斜めになっているのを治したい!


前歯のデコボコを治したい インビザライン矯正治療


難症例 奥歯がかみ合っていない 歯並び矯正で別人に


骨格のずれをカムフラージュ クロスバイトのワイヤー矯正
担当医 藤巻太一朗


インビザライン、非抜歯でここまでできる。補助装置との組み合わせで顎のゆがみとかみ合わせを治す


出っ歯と咬み合わせを改善 ワイヤー装置の抜歯矯正


左右に骨格がずれて咬みにくい ワイヤー装置による抜歯矯正


ワイヤー矯正歯科治療の注意事項(リスク・副作用など)
- 治療中は違和感や痛みが起こることがあります
- 症状により、抜歯が必要な場合があります
- 治療中は歯磨きがしにくくなるため、虫歯や歯周病になりやすくなります
- 矯正治療後の保定が不十分だと後戻り(元の位置に戻ろうとする動き)をします
- 自費診療(保険適用外)となります
マウスピース矯正の注意事項(リスク・副作用など)
- 口腔内・歯並びの状態によっては対応できない場合があります
- マウスピース型矯正装置の長時間装着が必須です
- 治療計画通りに進めるためには、患者様の意志が重要になります
- 矯正治療後の保定が不十分だと後戻り(元の位置に戻ろうとする動き)をします
- 自費診療(保険適用外)となります


