症例・治療例紹介
Cases
矯正歯科治療 → 裏側装置(フルリンガル)
1ページ目 / 2
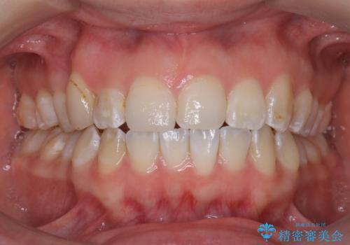
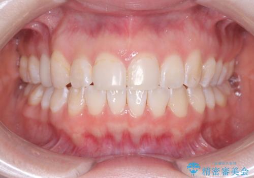
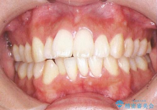
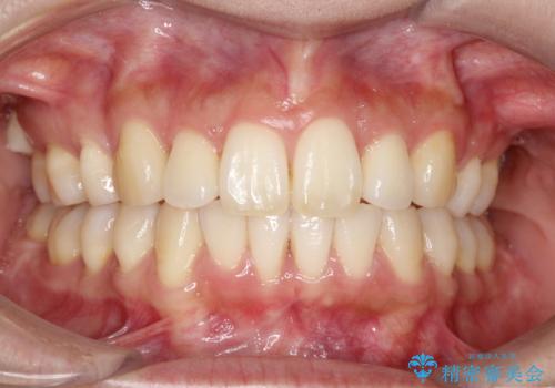
「フルリンガル矯正|アンカースクリューを活用し正中を整えた症例」
担当医 河口智英


全く目立たないワイヤー矯正 上下裏側矯正


裏側矯正の途中で海外へ インビザライン・チェンジによる矯正治療


マウスピース矯正で前歯のガタつきを改善


全く目立たないワイヤー矯正 上下リンガル矯正


裏側装置で出っ歯の矯正治療


裏側のワイヤー矯正 抜歯して前歯をしっかり後ろに下げる


出っ歯の抜歯矯正 裏側ワイヤーによる目立たない矯正


フルリンガル矯正 非抜歯でガタつきを整える


人生が変わる 困難を極める咬合状態に歯列矯正単独で挑戦する


抜歯をせずに出っ歯を改善 リンガル矯正


前歯がガタガタで食べ物が咬み切れない フルリンガルによる裏側矯正


前歯の反対咬合を改善 フルリンガルの抜歯矯正


歯を抜かないでガタガタをなおす 裏側矯正


上下裏側矯正 フルリンガルによる上下前歯前突の歯列矯正


ワイヤー矯正歯科治療の注意事項(リスク・副作用など)
- 治療中は違和感や痛みが起こることがあります
- 症状により、抜歯が必要な場合があります
- 治療中は歯磨きがしにくくなるため、虫歯や歯周病になりやすくなります
- 矯正治療後の保定が不十分だと後戻り(元の位置に戻ろうとする動き)をします
- 自費診療(保険適用外)となります
