症例・治療例紹介
Cases
矯正歯科治療 → プラスチックブラケット
1ページ目 / 12
上の前歯が下唇に引っかかる 口元を引っ込めすぎない抜歯矯正治療


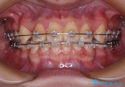
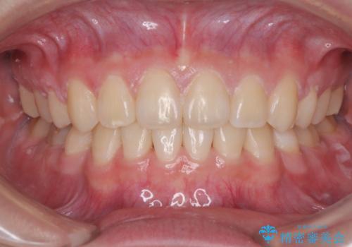
転勤でも安心して治療継続 抜歯スペース閉鎖と深い噛み合わせ改善のワイヤー矯正
担当医 齋藤佑磨


転位歯や埋伏歯などの難易度の高い抜歯矯正治療


奥歯の咬み合わせのズレと前歯の突出感 変則的な抜歯矯正


【クリア装置】すきっ歯を綺麗に改善


上顎前歯のデコボコを改善してスッキリした口元に ワイヤー装置での非抜歯矯正


欠損と口元の突出感 ワイヤー装置での抜歯矯正


前歯を後ろに下げたい ワイヤー矯正(クリア装置)


白い装置で八重歯を改善|抜歯矯正で見た目と噛み合わせ向上


【クリア装置】前歯の捻れが気になる


むし歯と八重歯を治したい 総合歯科治療


口が閉じられない 抜歯矯正で前歯の突出感を改善


捻れた前歯を楽して改善 ワイヤー装置での非抜歯矯正


【クリア装置】見た目と噛み合わせを綺麗に


非接触の前歯と下顎のデコボコ ワイヤー装置による矯正治療


ワイヤー矯正歯科治療の注意事項(リスク・副作用など)
- 治療中は違和感や痛みが起こることがあります
- 症状により、抜歯が必要な場合があります
- 治療中は歯磨きがしにくくなるため、虫歯や歯周病になりやすくなります
- 矯正治療後の保定が不十分だと後戻り(元の位置に戻ろうとする動き)をします
- 自費診療(保険適用外)となります
