症例詳細
Case detail
【モニター】顎のゆがみをカムフラージュ ワイヤー装置の抜歯矯正
治療症例の内容
- 診療科目
- 担当医
- 藤巻太一朗(ドクタープロフィール)
- 患者様
- 20代女性
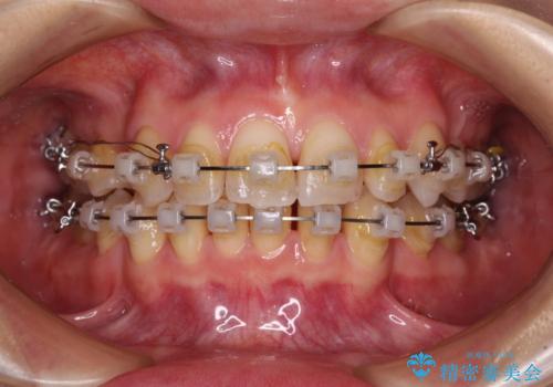
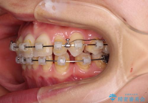
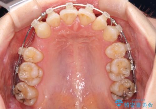
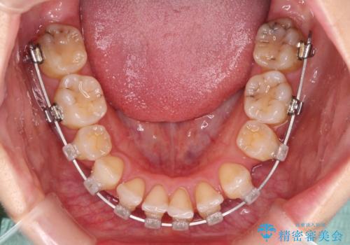
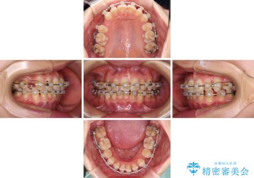
- 矯正装置
- クリアブラケット
- 治療期間
- 3年8ヶ月
- 治療回数
- 30回以上
- 治療計画
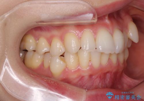
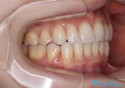
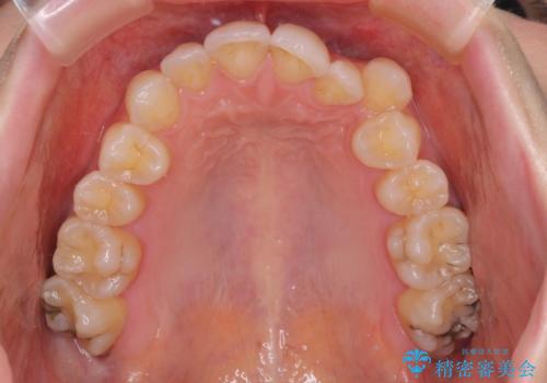
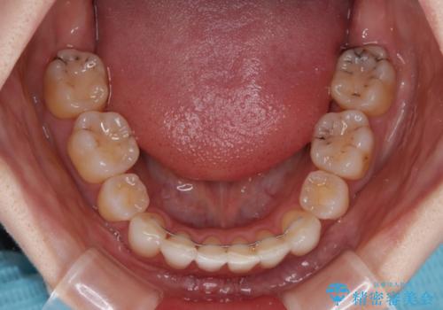
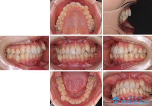
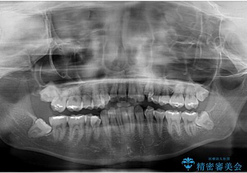
- 八重歯や前歯のデコボコを気にして来院された患者様です。
骨格的な左右差と、歯列から外れている歯が上下で左右非対称になっていることから、上下正中が歯1本分ずれている状態でした。
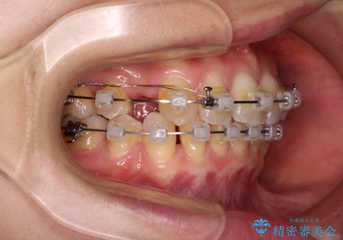
八重歯の改善と、上下の正中位置を極力合わせていくことを目的として、上下左右の第一小臼歯4本を抜歯し、ワイヤー装置にて矯正治療を行うこととしました。
- 費用(概算)
- 治療費の目安: 95万円(税込)費用は治療当時の料金となります
※顔写真掲載にあたり、患者様の了解を得ております
治療について
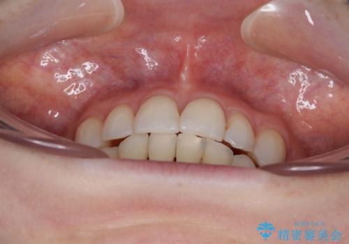
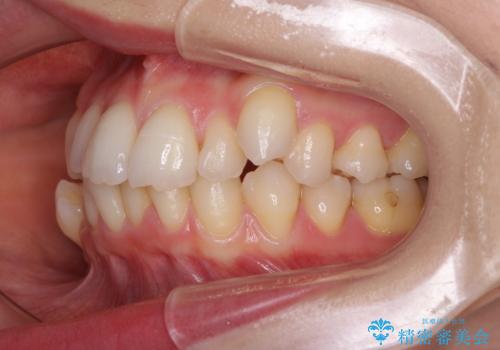
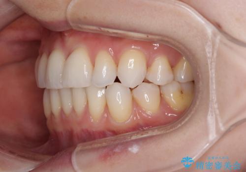
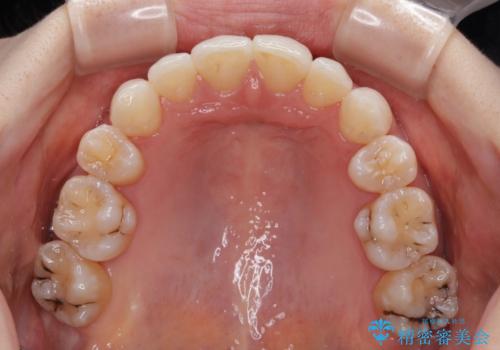
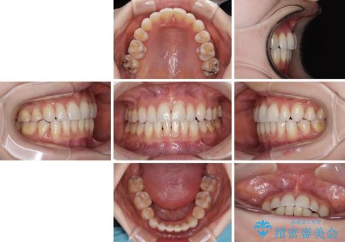
アンカースクリューを用いて正中位置を調整したことで、上下の正中位置をほぼ一致させることができました。
移動量が多かったため、治療期間は長くなりましたが、大変満足のいく仕上がりとなりました。
ワイヤー矯正の注意事項(リスク・副作用など)
- 治療中は違和感や痛みが起こることがあります
- 症状により、抜歯が必要な場合があります
- 治療中は歯磨きがしにくくなるため、虫歯や歯周病になりやすくなります
- 矯正治療後の保定が不十分だと後戻り(元の位置に戻ろうとする動き)をします
- 自費診療(保険適用外)となります
当サイトの内容、テキスト、画像等の無断転載、複製、複写、盗用を固く禁じます。


























