症例・治療例紹介
Cases
矯正歯科治療 → 過蓋咬合(ディープバイト)
1ページ目 / 11
がたつきと出っ歯 ワイヤー矯正での歯並び改善


【抜歯】ハーフリンガル矯正で韓国美人な横顔へ!


出っ歯、ガタつきの改善 ワイヤー矯正治療


がちゃがちゃした前歯をきれいにしたい


ディープバイトと前歯のデコボコ インビザラインによる矯正治療


深い咬み合わせと前歯のデコボコ ワイヤー装置での抜歯矯正


【モニター】デコボコ前歯を治したい ワイヤー装置での抜歯矯正治療


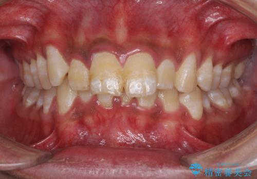
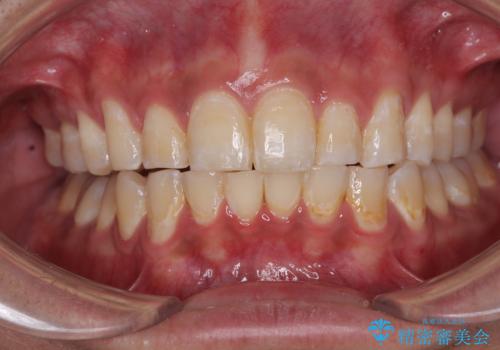
[ 社会人の矯正治療 ] 仕事をしながらでも治療しやすい、マウスピース矯正
担当医 大元洋佑
![[ 社会人の矯正治療 ] 仕事をしながらでも治療しやすい、マウスピース矯正の症例 治療前](https://seimitsushinbi.jp/wp/wp-content/uploads/2025/02/IMG_3012-500x350.jpg?v=1740124592)
![[ 社会人の矯正治療 ] 仕事をしながらでも治療しやすい、マウスピース矯正の症例 治療後](https://seimitsushinbi.jp/wp/wp-content/uploads/2025/02/d62ebcf4699c90efb9ffd5ed659b7480-500x350.jpg?v=1740124568)
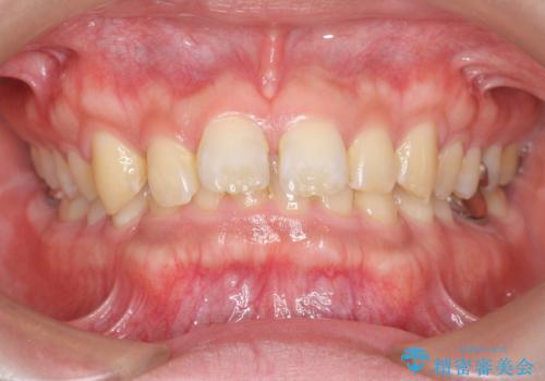
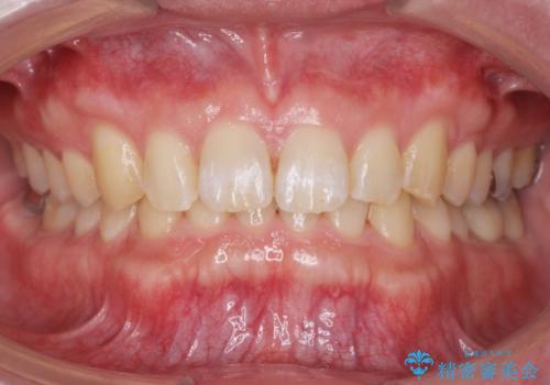
ディープバイトのマウスピース矯正
担当医 大元洋佑


ディープバイト改善のためのインビザライン治療
担当医 河口智英


インビザラインで整える深い噛み合わせ
担当医 河口智英


【インビザライン】短期間で出っ歯を治したい


ディープバイトを短期間で改善 ワイヤー矯正治療


上顎前突をしっかりと治す 補助装置を使用したワイヤー矯正


ワイヤー矯正歯科治療の注意事項(リスク・副作用など)
- 治療中は違和感や痛みが起こることがあります
- 症状により、抜歯が必要な場合があります
- 治療中は歯磨きがしにくくなるため、虫歯や歯周病になりやすくなります
- 矯正治療後の保定が不十分だと後戻り(元の位置に戻ろうとする動き)をします
- 自費診療(保険適用外)となります
マウスピース矯正の注意事項(リスク・副作用など)
- 口腔内・歯並びの状態によっては対応できない場合があります
- マウスピース型矯正装置の長時間装着が必須です
- 治療計画通りに進めるためには、患者様の意志が重要になります
- 矯正治療後の保定が不十分だと後戻り(元の位置に戻ろうとする動き)をします
- 自費診療(保険適用外)となります


