症例・治療例紹介
Cases
矯正歯科治療 → 空隙歯列弓・正中離開(すきっ歯)
1ページ目 / 9
【モニター】ディープバイトで隙間の空いた歯列 ワイヤー装置での非抜歯矯正


【審美装置】すきっ歯をワイヤー装置で治したい
担当医 菊地俊介


隙間だらけの歯列を治したい ワイヤー矯正での矯正治療


【ワイヤー矯正】歯列の隙間を閉じたい


深い咬み合わせによる隙間 インビザライン矯正でコンプレックスを改善


【審美装置】前歯で噛めない!抜歯しないで治したい


矯正の後戻りによるすきっ歯と歯肉退縮 根面被覆と部分矯正


【クリア装置】すきっ歯を綺麗に改善


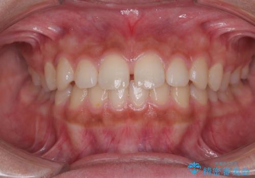
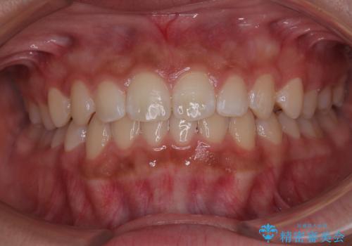
[インビザラインライト] すきっ歯を治したい。
![[インビザラインライト] すきっ歯を治したい。の症例 治療前](https://seimitsushinbi.jp/wp/wp-content/uploads/2025/05/IMG_2278-500x350.jpg?v=1746624784)
![[インビザラインライト] すきっ歯を治したい。の症例 治療後](https://seimitsushinbi.jp/wp/wp-content/uploads/2025/05/IMG_8878-500x350.jpg?v=1746624912)
前歯のすき間 歯のがたつき


気になるすきっ歯を短期間で改善 インビザライン矯正


前歯の悩みを非抜歯ワイヤー矯正で改善


【インビザライン】正中離開を治したい


[ インビザライン ] 目立つすきっ歯をマウスピース矯正で改善
![[ インビザライン ] 目立つすきっ歯をマウスピース矯正で改善の症例 治療前](https://seimitsushinbi.jp/wp/wp-content/uploads/2024/06/e496bad3b681f39736557be4c8a9f8d7-500x350.jpg?v=1717748426)
![[ インビザライン ] 目立つすきっ歯をマウスピース矯正で改善の症例 治療後](https://seimitsushinbi.jp/wp/wp-content/uploads/2024/06/09dde2e3dd9d0c88016faa1259ef760f-500x350.jpg?v=1717746643)
前歯のすき間が気になる 部分矯正で


ワイヤー矯正歯科治療の注意事項(リスク・副作用など)
- 治療中は違和感や痛みが起こることがあります
- 症状により、抜歯が必要な場合があります
- 治療中は歯磨きがしにくくなるため、虫歯や歯周病になりやすくなります
- 矯正治療後の保定が不十分だと後戻り(元の位置に戻ろうとする動き)をします
- 自費診療(保険適用外)となります
マウスピース矯正の注意事項(リスク・副作用など)
- 口腔内・歯並びの状態によっては対応できない場合があります
- マウスピース型矯正装置の長時間装着が必須です
- 治療計画通りに進めるためには、患者様の意志が重要になります
- 矯正治療後の保定が不十分だと後戻り(元の位置に戻ろうとする動き)をします
- 自費診療(保険適用外)となります
