症例詳細
Case detail
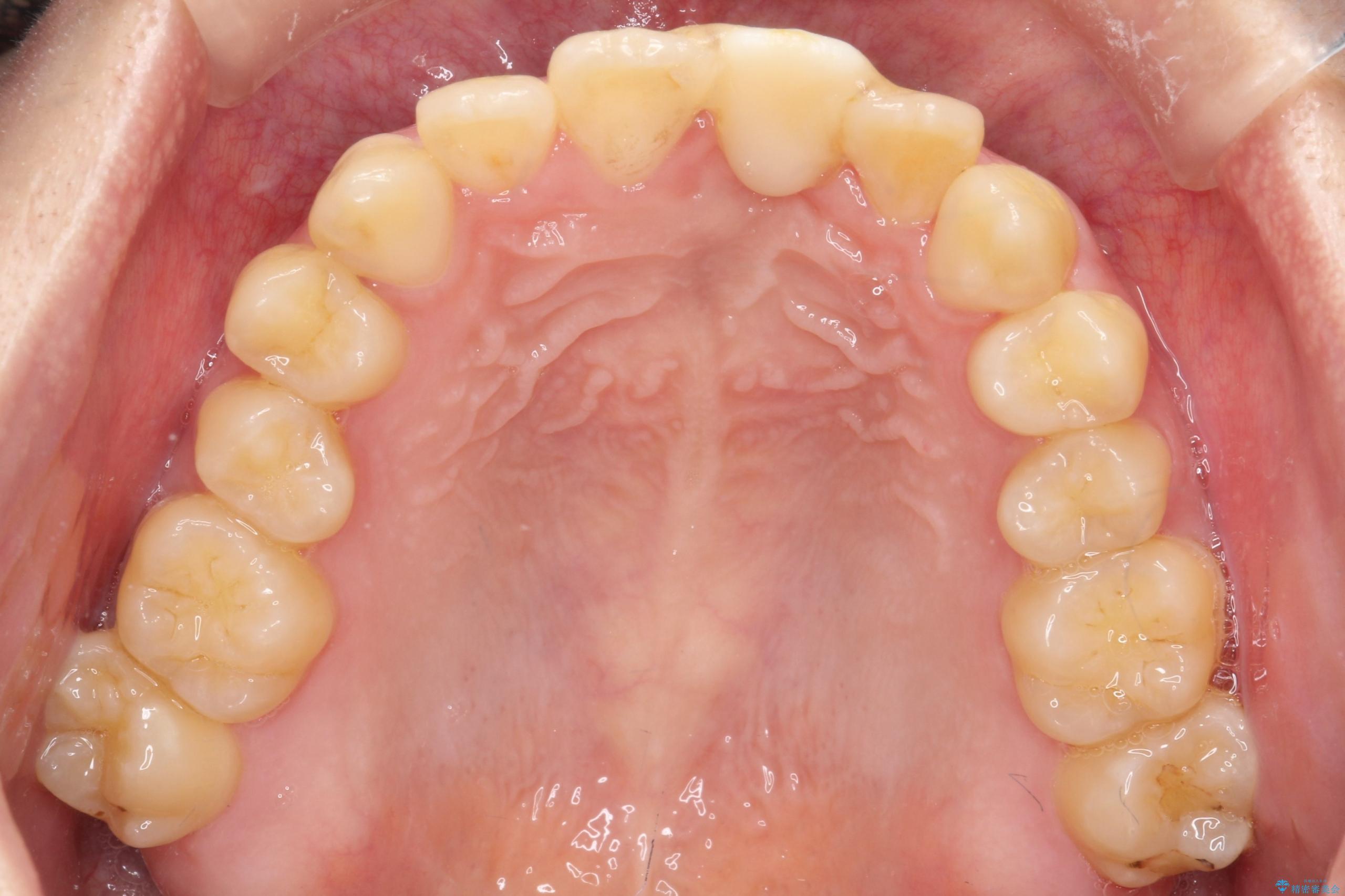
前歯の開咬とシザーズバイトを改善|インビザライン矯正
治療症例の内容
- 患者様
- 30代女性
- 治療期間
- 1年6ヶ月
- 治療回数
- 10-30回
- 治療計画
- 前歯が噛み合わない(開咬)ことと、奥歯の噛み合わせが交叉している(シザーズバイト)ことを改善するため、インビザラインによるマウスピース矯正を計画しました。精密な口腔内スキャナーを用いたシミュレーションで歯の移動経路を確認し、効果的な治療計画を立案。奥歯の咬合関係を整え、前歯の咬合を確立することを目指し、約1年半〜2年で治療を完了する予定としました。
- 費用(概算)
- 80万円費用は治療当時の料金となります
治療について
前歯が噛まないため咀嚼が困難で、シザーズバイトにより噛み合わせに不調を感じていました。インビザラインを用いて、透明なマウスピースによる目立ちにくい矯正治療を実施。奥歯のシザーズバイトを改善した後、前歯の歯列を緻密に調整し、噛み合わせを整えました。定期的なマウスピース交換を通じて徐々に歯列が改善され、治療終了後には前歯が正常に咬合するようになり、噛み合わせの機能性と審美性が共に向上しました。
セラミック治療の注意事項(リスク・副作用など)
- 天然歯を削ります
- 硬い素材は天然歯を傷つけてしまう場合があります
- かみ合わせや歯ぎしりが強すぎる方はセラミックが割れてしまう可能性があります
- 自費診療(保険適用外治療)となります
マウスピース矯正の注意事項(リスク・副作用など)
- 口腔内・歯並びの状態によっては対応できない場合があります
- マウスピース型矯正装置の長時間装着(1日20時間以上)が必須です
- 治療計画通りに進めるためには、患者様の意志が重要になります
- 矯正治療後の保定が不十分だと後戻り(元の位置に戻ろうとする動き)をします
- 薬機法対象外の矯正歯科装置のため医薬品副作用被害救済制度の対象外となる場合があります
- 自費診療(保険適用外)となります
当サイトの内容、テキスト、画像等の無断転載、複製、複写、盗用を固く禁じます。















