症例・治療例紹介
Cases
最新の症例
セラミックの詰め物が欠けたのでやり替えたい オールセラミッククラウン
担当医 有澤哲郎


歯が割れているといわれた 奥歯にインプラントをしていきたい 全体的な治療


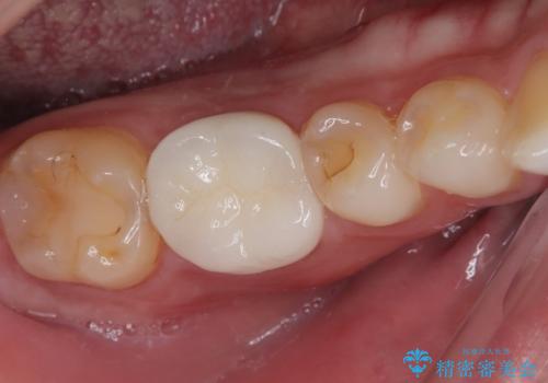
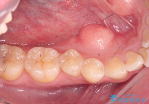
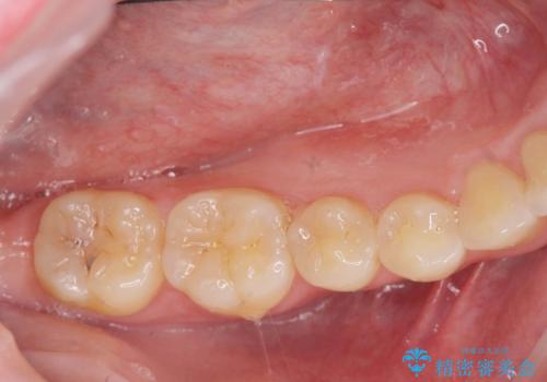
奥の虫歯 ジルコニアクラウンでの修復


前歯を綺麗にしたい e-maxクラウンでの修復
担当医 岡田康成


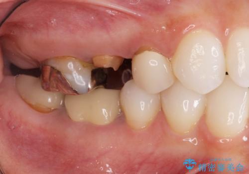
入れ歯を変えたい ブリッジでの修復治療


できる限り口の中を綺麗にしたい。


スポーツ用マウスガードを作りたい


前歯のねじれをマウスピース矯正インビザラインで治療
担当医 大元洋佑


非抜歯、ワイヤーでの矯正治療。歯のがたつき、顎のズレ、出っ歯を治す。インビザラインが使えない方


急速拡大装置 歯列弓を拡大して非抜歯ワイヤー矯正


左上の前歯が出ているのが気になる 審美装置による非抜歯ワイヤー矯正










