電話予約
無料相談予約
選ばれる理由
Reason
歯科医師紹介
Doctor
診療科目
Services
症例写真
Case photo
動画
Movie
治療費一覧
Price
医院紹介
Clinic
症例・治療例紹介
Cases
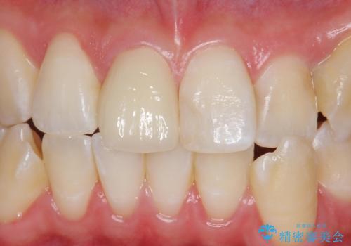
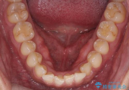
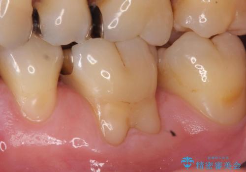
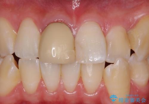
Dr. 岡田康成の症例写真
1ページ目 / 9
担当医 岡田康成<2025年10月31日更新>
担当医 岡田康成<2025年8月25日更新>
担当医 岡田康成<2025年4月10日更新>
担当医 岡田康成<2025年1月10日更新>
担当医 岡田康成<2025年1月9日更新>
担当医 岡田康成<2024年9月4日更新>
担当医 岡田康成<2024年8月10日更新>