症例・治療例紹介
Cases
Dr. 福本健生の症例写真
1ページ目 / 4
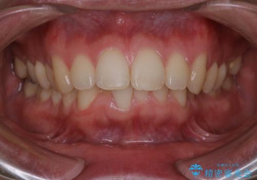
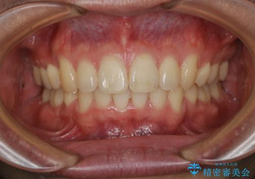
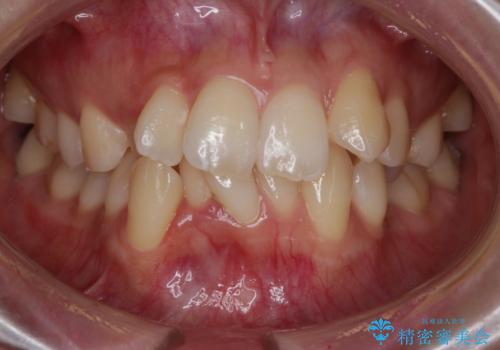
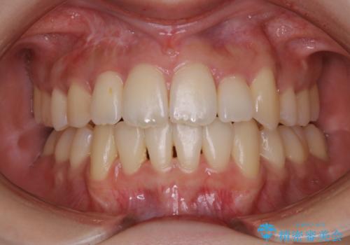
非抜歯、ワイヤーでの矯正治療。歯のがたつき、顎のズレ、出っ歯を治す。インビザラインが使えない方


90度捻じれてしまい、完全にはみ出している歯を抜かずにインビザラインで治す。一般治療もできる精密審美会だからこその治療


前歯の反対咬合、奥に引っ込んでしまっている歯をインビザラインで治療する


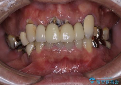
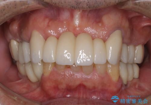
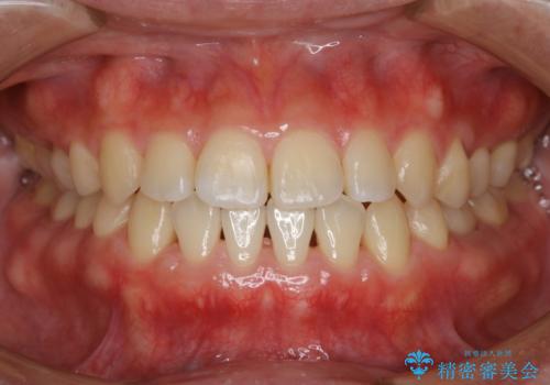
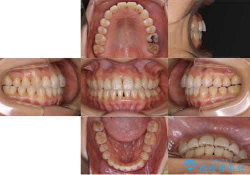
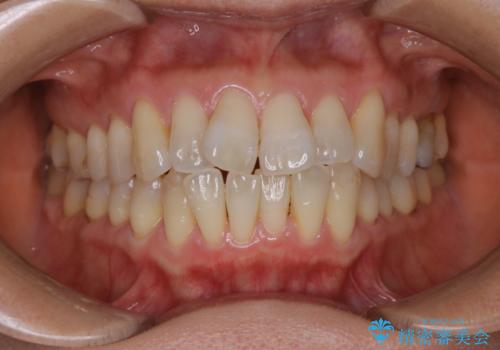
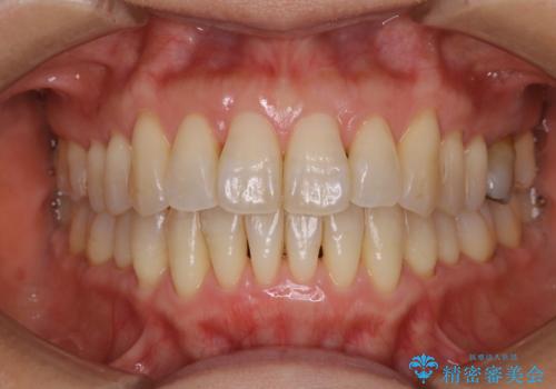
孫から口臭を指摘され来院、全顎治療で噛み合わせ、見た目、口臭全て劇的改善!


非抜歯で劇的に出っ歯を改善!インビザラインとカリエールの組み合わせ治療


オープンバイト、噛んだ時に前歯が閉じない(開咬)をインビザラインで
担当医 福本健生


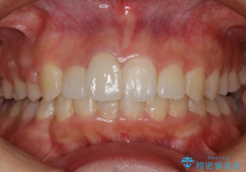
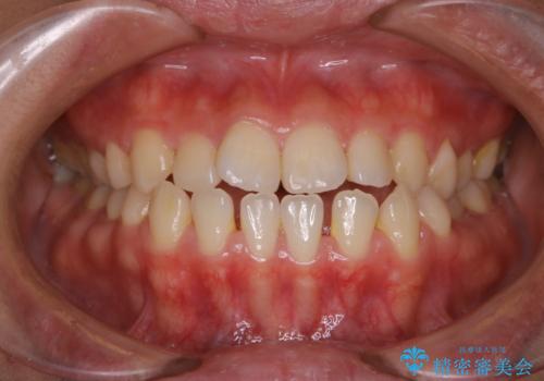
がたつき、口ゴボ(出っ歯)、真ん中のずれを抜歯矯正治療で治す。ワイヤー矯正治療


がたつきが強いガチャ歯。埋伏歯抜歯+矯正。すごいところに犬歯が埋まっていたのを抜いてワイヤー矯正治療


前歯の不自然なセラミック 下のすきっ歯 矯正治療で総合的に美しく


歯茎が薄い方へのインビザライン治療、歯肉退縮予防


インビザライン、非抜歯でここまでできる。補助装置との組み合わせで顎のゆがみとかみ合わせを治す


歯ぐき、骨が薄い方のマウスピース矯正治療 非抜歯でもIPR(歯を削る処置)で口元に変化を


インビザライン・ライトで”すきっ歯と出っ歯”を改善






