症例・治療例紹介
Cases
最新の症例
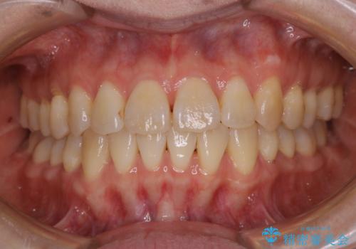
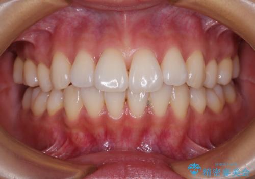
前歯のねじれを治したい マウスピース矯正治療


食いしばりが強い 歯周病全顎治療
担当医 大元洋佑


最小限の来院回数で歯並びを改善:インビザライン治療


フルジルコニアクラウンによる銀歯のやり変え
担当医 小澤俊哉


滑舌の改善 舌小帯の形成術
担当医 大元洋佑


舌小帯が気になる。 舌小帯切除術
担当医 岡田康成


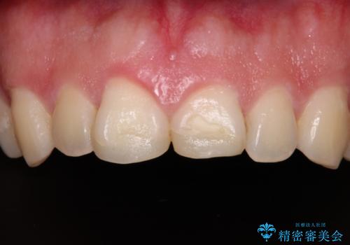
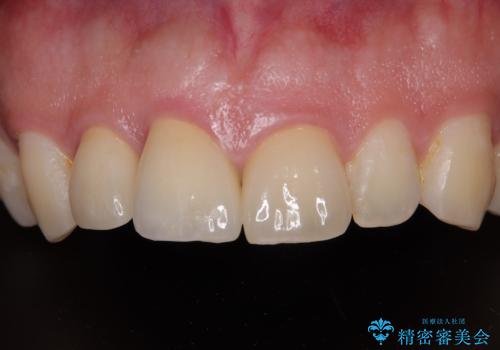
自転車で転んで前歯を損傷 前歯のオールセラミッククラウン


前歯のデコボコとクロスバイト ワイヤー装置での抜歯矯正
担当医 藤巻太一朗


上下の八重歯とクロスバイト ワイヤー装置での抜歯矯正


八重歯と上顎前突 ワイヤー装置での抜歯矯正


前歯のクロスバイト インビザラインによる矯正治療


インビザラインによる矯正治療と奥歯のインプラント治療


痛みを感じる上顎大臼歯 ゴールドクラウンの補綴治療






