症例・治療例紹介
Cases
その他 → 舌小帯・上唇小帯切除
1ページ目 / 5
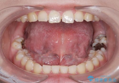
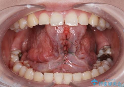
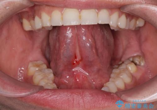
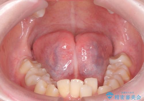
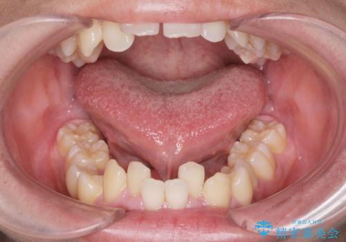
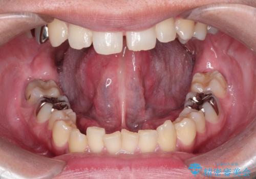
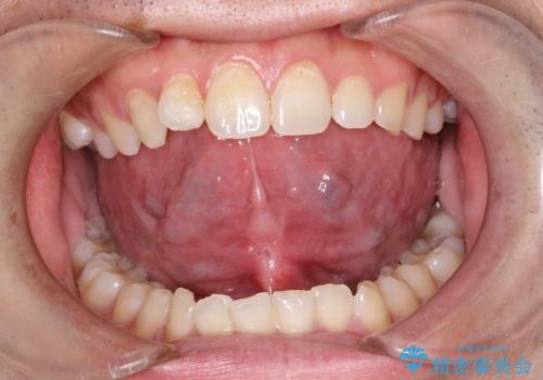
[舌小帯の形成術] 舌の動きが悪い 滑舌を改善したい!
担当医 大元洋佑
![[舌小帯の形成術] 舌の動きが悪い 滑舌を改善したい!の症例 治療前](https://seimitsushinbi.jp/wp/wp-content/uploads/2025/06/bc8fa7739e67eae233f395e6e973327d-500x350.jpg?v=1750240523)
![[舌小帯の形成術] 舌の動きが悪い 滑舌を改善したい!の症例 治療後](https://seimitsushinbi.jp/wp/wp-content/uploads/2025/06/3J7A9983-500x350.jpg?v=1750240491)
滑舌の改善 舌小帯の形成術
担当医 大元洋佑


「サ行」が発音しづらい 舌小帯形成術で改善
担当医 大元洋佑


舌小帯切りたい。
担当医 青山卓弘


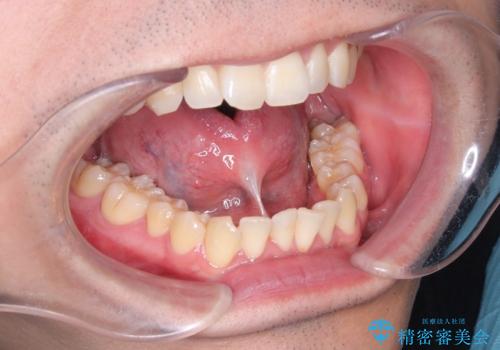
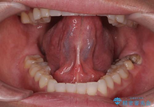
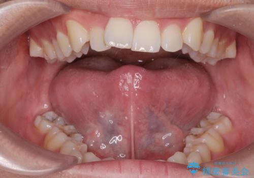
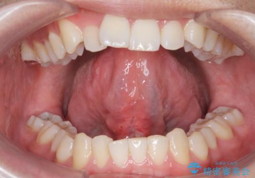
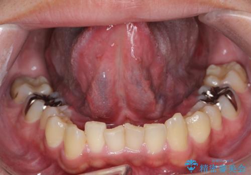
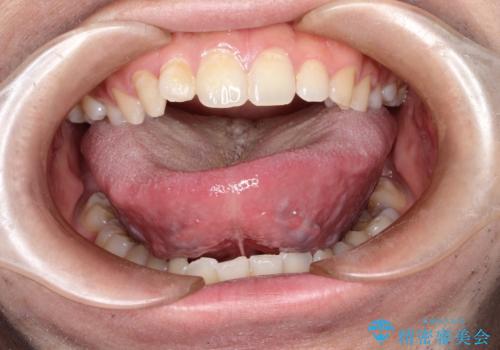
[ 舌小帯の形成術 ] ラ行の発音を改善したい
担当医 大元洋佑
![[ 舌小帯の形成術 ] ラ行の発音を改善したいの症例 治療前](https://seimitsushinbi.jp/wp/wp-content/uploads/2024/08/acee470463c1189e4b61545af4154c68-500x350.jpg?v=1723775372)
![[ 舌小帯の形成術 ] ラ行の発音を改善したいの症例 治療後](https://seimitsushinbi.jp/wp/wp-content/uploads/2024/08/d2ed5db8e0b29e9cd54a7a382972d064-500x350.jpg?v=1723775393)
【舌小帯切除術 即日手術!】舌が短くて滑舌が悪いのを治したい!
担当医 河野豊嘉


舌小帯形成術で滑舌を向上!


滑舌改善希望で舌小帯切除術
担当医 青山卓弘


舌小帯切りたい。
担当医 青山卓弘


舌が動かしにくい。
担当医 青山卓弘


舌小帯を切りたい。
担当医 青山卓弘


舌小帯切除 レーザー機器で縫合レス
担当医 今村大二郎


明瞭な発音を目指して!舌小帯形成術で滑舌を向上


舌小帯の処置 滑舌が気になる


滑舌の向上を目指して! 舌小帯形成術の効果を実感しよう


外科処置の注意事項(リスク・副作用など)
- 外科手術のため、術後に出血、痛みや腫れ、違和感を伴います
- 口腔内の状態によっては適応できないことがあります
