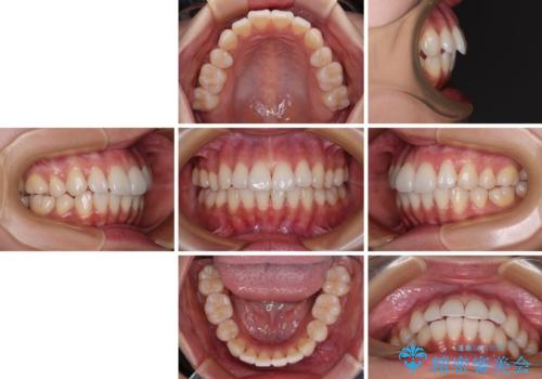
抜歯矯正の軽度後戻りを解消 インビザライン矯正の症例写真

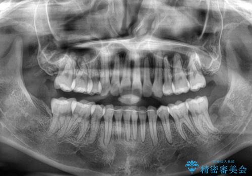
症例詳細

Case detail

抜歯矯正の軽度後戻りを解消 インビザライン矯正

治療症例の内容

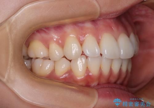
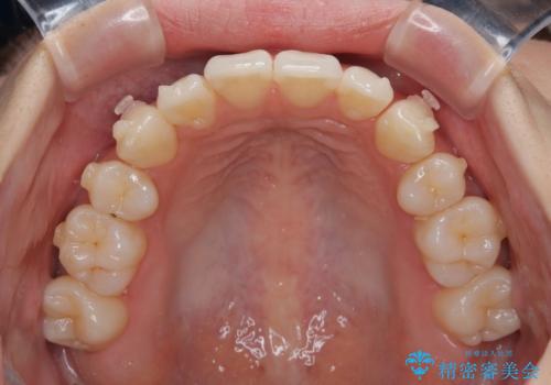
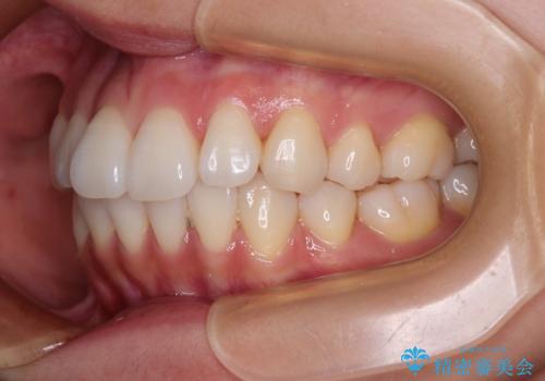
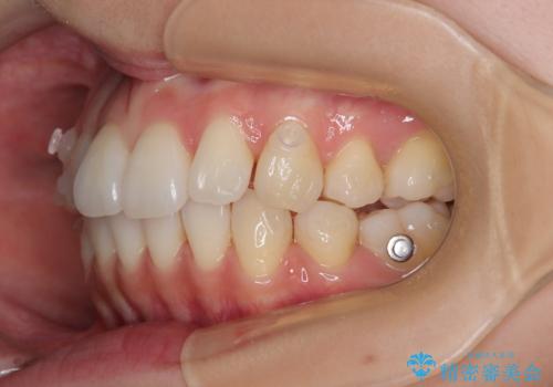
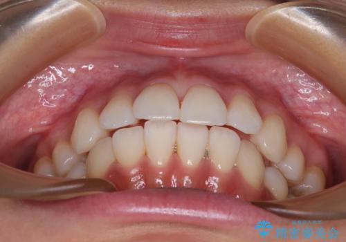
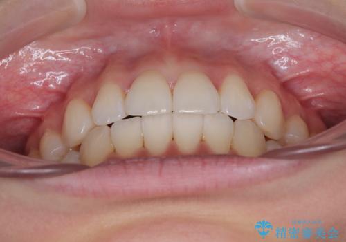
  1. 開始前
  2. 治療途中
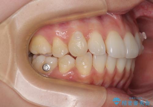
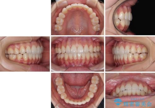
  3. 終了時
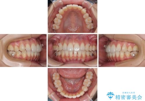
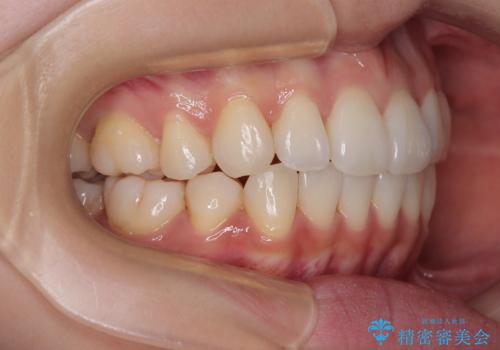
  1. 抜歯矯正の軽度後戻りを解消 インビザライン矯正の治療前
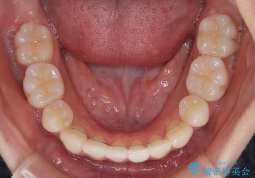
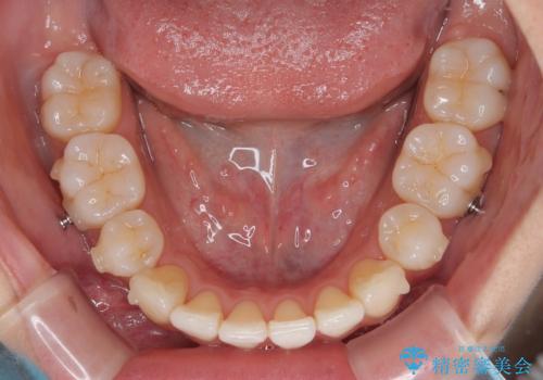
  2. 抜歯矯正の軽度後戻りを解消 インビザライン矯正の治療中
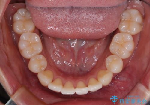
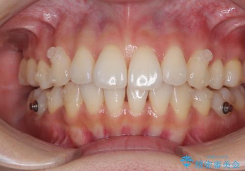
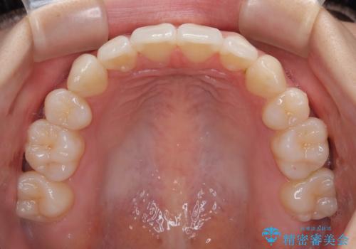
  3. 抜歯矯正の軽度後戻りを解消 インビザライン矯正の治療後
  1. 抜歯矯正の軽度後戻りを解消 インビザライン矯正の治療前
  2.  
  3. 抜歯矯正の軽度後戻りを解消 インビザライン矯正の治療後
  1. 抜歯矯正の軽度後戻りを解消 インビザライン矯正の治療前
  2.  
  3. 抜歯矯正の軽度後戻りを解消 インビザライン矯正の治療後
  1. 抜歯矯正の軽度後戻りを解消 インビザライン矯正の治療前
  2. 抜歯矯正の軽度後戻りを解消 インビザライン矯正の治療中
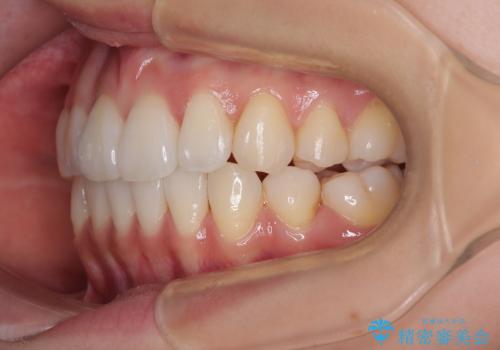
  3. 抜歯矯正の軽度後戻りを解消 インビザライン矯正の治療後
  1. 抜歯矯正の軽度後戻りを解消 インビザライン矯正の治療前
  2. 抜歯矯正の軽度後戻りを解消 インビザライン矯正の治療中
  3. 抜歯矯正の軽度後戻りを解消 インビザライン矯正の治療後
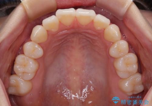
  1. 抜歯矯正の軽度後戻りを解消 インビザライン矯正の治療前
  2. 抜歯矯正の軽度後戻りを解消 インビザライン矯正の治療中
  3. 抜歯矯正の軽度後戻りを解消 インビザライン矯正の治療後
  1. 抜歯矯正の軽度後戻りを解消 インビザライン矯正の治療前
  2. 抜歯矯正の軽度後戻りを解消 インビザライン矯正の治療中
  3. 抜歯矯正の軽度後戻りを解消 インビザライン矯正の治療後
  1. 抜歯矯正の軽度後戻りを解消 インビザライン矯正の治療前
  2. 抜歯矯正の軽度後戻りを解消 インビザライン矯正の治療中
  3. 抜歯矯正の軽度後戻りを解消 インビザライン矯正の治療後
  1. 抜歯矯正の軽度後戻りを解消 インビザライン矯正の治療前
  2.  
  3. 抜歯矯正の軽度後戻りを解消 インビザライン矯正の治療後

治療前後の比較 ~顔貌~

  1. 開始前
  2. 終了時
  1. 抜歯矯正の軽度後戻りを解消 インビザライン矯正の治療前(顔貌)
  2. 抜歯矯正の軽度後戻りを解消 インビザライン矯正の治療後(顔貌)

この治療をした歯科医師の関連症例

24時間受付
無料相談予約

お電話での無料相談のご予約

平日 11:00-20:00 / 土日 10:00-18:00
閉じる