症例・治療例紹介
Cases
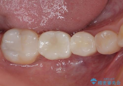
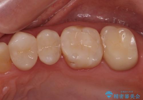
セラミック治療 → セラミックインレー
7ページ目 / 49
放置した歯列 矯正治療とインプラント治療で劇的に改善
担当医 藤巻太一朗


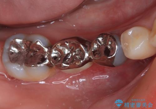
銀歯をやり替えたい。インプラントとセラミックによる治療


【銀歯を無くしたい】 メタルフリー治療


セラミック治療の注意事項(リスク・副作用など)
- 天然歯を削ります
- 硬い素材は天然歯を傷つけてしまう場合があります
- かみ合わせや歯ぎしりが強すぎる方はセラミックが割れてしまう可能性があります
- 自費診療(保険適用外治療)となります
症例・治療例紹介
Cases
セラミック治療 → セラミックインレー
7ページ目 / 49
担当医 藤巻太一朗






