電話予約
無料相談予約
選ばれる理由
Reason
歯科医師紹介
Doctor
診療科目
Services
症例写真
Case photo
動画
Movie
治療費一覧
Price
医院紹介
Clinic
症例・治療例紹介
Cases
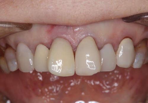
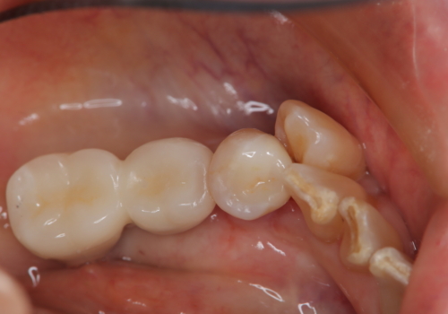
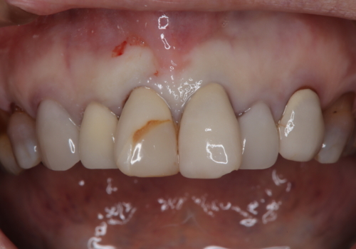
Dr. 高悠莉の症例写真
1ページ目 / 4
担当医 高悠莉<2025年9月26日更新>
担当医 高悠莉<2025年8月25日更新>
担当医 高悠莉<2025年6月18日更新>
担当医 高悠莉<2025年5月9日更新>
担当医 高悠莉<2025年4月30日更新>
担当医 高悠莉<2025年3月7日更新>
担当医 高悠莉<2025年2月28日更新>