症例・治療例紹介
Cases
セラミック治療 → 前歯クラウン(オールセラミック)
4ページ目 / 73
自転車で転んで前歯を損傷 前歯のオールセラミッククラウン


根管治療と並行して矯正を マウスピース治療


虫歯・噛み合わせ・インプラント、全顎総合治療
担当医 大元洋佑


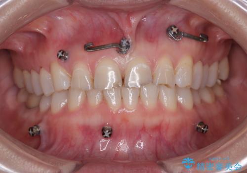
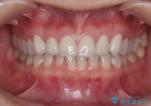
[ 乳歯の残存 ] 前歯のインプラント治療
![[ 乳歯の残存 ] 前歯のインプラント治療の症例 治療前](https://seimitsushinbi.jp/wp/wp-content/uploads/2025/01/56e81c0e80b6afc81f4533415a35e537-500x350.jpg?v=1737944679)
![[ 乳歯の残存 ] 前歯のインプラント治療の症例 治療後](https://seimitsushinbi.jp/wp/wp-content/uploads/2025/01/6eaf73b3367bd4d0447513f97e9920b2-500x350.jpg?v=1737944724)
前歯を綺麗にしたい。
担当医 青山卓弘


乳歯に虫歯ができた オールセラミッククラウン
担当医 有澤哲郎


[セラミッククラウン] 根面にできた虫歯治療
担当医 大元洋佑
![[セラミッククラウン] 根面にできた虫歯治療の症例 治療前](https://seimitsushinbi.jp/wp/wp-content/uploads/2025/01/219de76588e33a785e27972e74b82287-500x350.jpg?v=1737355652)
![[セラミッククラウン] 根面にできた虫歯治療の症例 治療後](https://seimitsushinbi.jp/wp/wp-content/uploads/2025/01/b5dd3c419634e991792bcd87dc34d835-500x350.jpg?v=1737355681)
むし歯と前歯のデコボコを治したい インビザラインを使用した総合歯科治療


前歯のフチが黒いのが気になる 前歯のセラミック治療
担当医 大元洋佑


[ セラミック治療 ] 前歯の変色をきれいにしたい
担当医 大元洋佑
![[ セラミック治療 ] 前歯の変色をきれいにしたいの症例 治療前](https://seimitsushinbi.jp/wp/wp-content/uploads/2025/01/a82a45fb000c728cce512ad8e1d703e1-500x350.jpg?v=1736476816)
![[ セラミック治療 ] 前歯の変色をきれいにしたいの症例 治療後](https://seimitsushinbi.jp/wp/wp-content/uploads/2025/01/f987dd8fccdf9db8ef0f42aa8e98e712-500x350.jpg?v=1736476871)
割れてしまった歯と深いむし歯 部分矯正と外科処置で安定したブリッジ治療


転んで欠けた前歯を治したい。オールセラミッククラウンによる補綴
担当医 齋藤佑磨


あきらめないで!!虫歯でボロボロでも大丈夫! 非抜歯矯正と虫歯、インプラント治療で見違える歯並びに。


1DAYインプラント 土台から外れてしまった前歯を短期間で治療


気になる八重歯と変色した前歯 抜歯矯正とセラミッククラウン治療


セラミック治療の注意事項(リスク・副作用など)
- 天然歯を削ります
- 硬い素材は天然歯を傷つけてしまう場合があります
- かみ合わせや歯ぎしりが強すぎる方はセラミックが割れてしまう可能性があります
- 自費診療(保険適用外治療)となります
