症例詳細
Case detail
受け口傾向の咬み合わせを治したい 全顎セラミック治療
治療症例の内容
- 診療科目
- 担当医
- 藤巻太一朗(ドクタープロフィール)
- 患者様
- 40代男性
- 治療期間
- 7ヶ月
- 治療回数
- 10-30回
- 治療計画
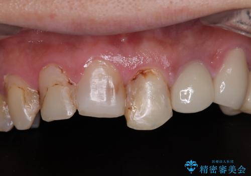
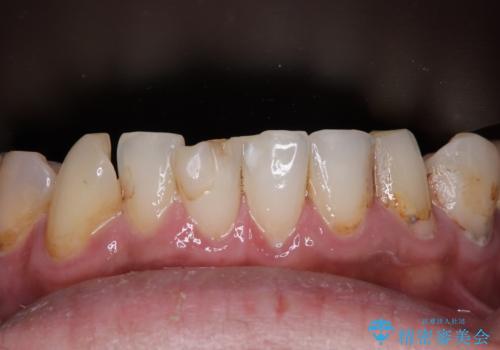
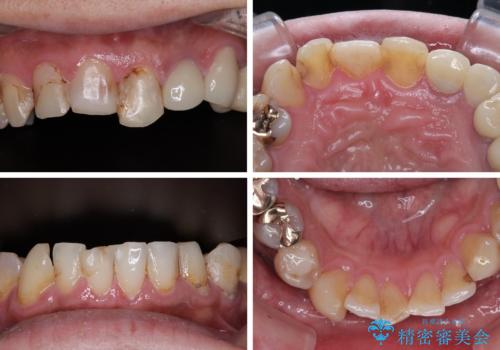
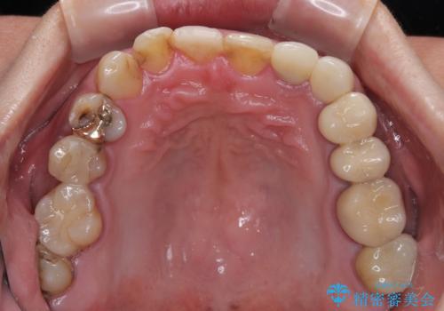
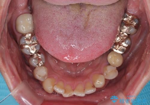
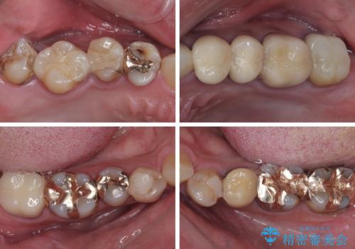
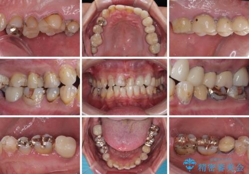
- すぐに欠けてしまう前歯や、むし歯で全顎的に処置された歯を気にして来院された患者様です。
元来むし歯が多く、さらに受け口傾向の咬み合わせを気にしていらっしゃいました。
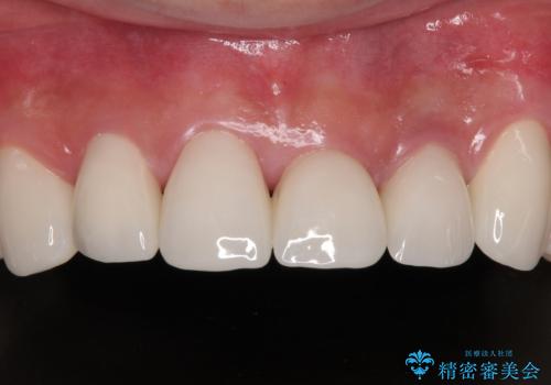
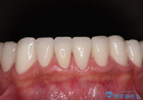
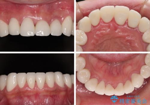
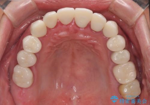
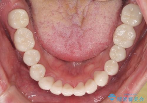
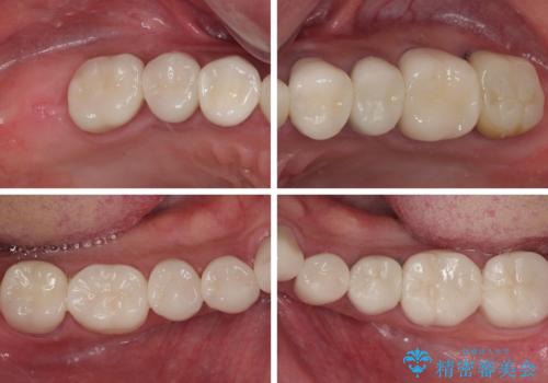
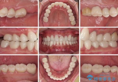
当初はむし歯処置が必要な歯のみの治療予定でしたが、捻転や咬み合わせを可及的に改善したいとのことで、全顎的にオールセラミッククラウンにて補綴治療を行うこととしました。
- 費用(概算)
- 治療費の目安: 450万円(税込)費用は治療当時の料金となります
治療について
反対咬合を補綴治療で改善すると、上唇へ歯が当たる感覚や、発音時の舌感覚が急激に大きく変化するため、違和感になれるまで時間を要することになります。
仮歯で過ごす期間を一定期間も受けることで徐々に変化になれていくようにし、オールセラミッククラウン装着時には違和感なく過ごすことができるようにしています。
セラミック治療の注意事項(リスク・副作用など)
- 天然歯を削ります
- 硬い素材は天然歯を傷つけてしまう場合があります
- かみ合わせや歯ぎしりが強すぎる方はセラミックが割れてしまう可能性があります
- 自費診療(保険適用外治療)となります
当サイトの内容、テキスト、画像等の無断転載、複製、複写、盗用を固く禁じます。




















