症例詳細
Case detail
矮小歯を伴う叢生を審美的に改善|インビザライン矯正+セラミッククラウン修復
治療症例の内容
- 患者様
- 30代女性
- 治療期間
- 2年
- 治療回数
- 10-30回
- 治療計画
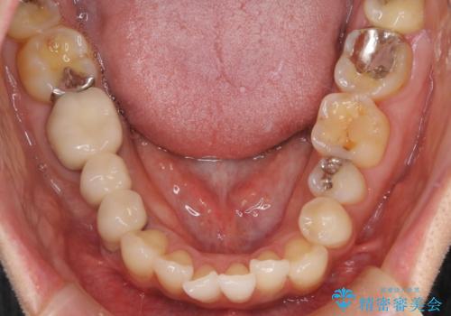
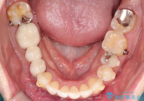
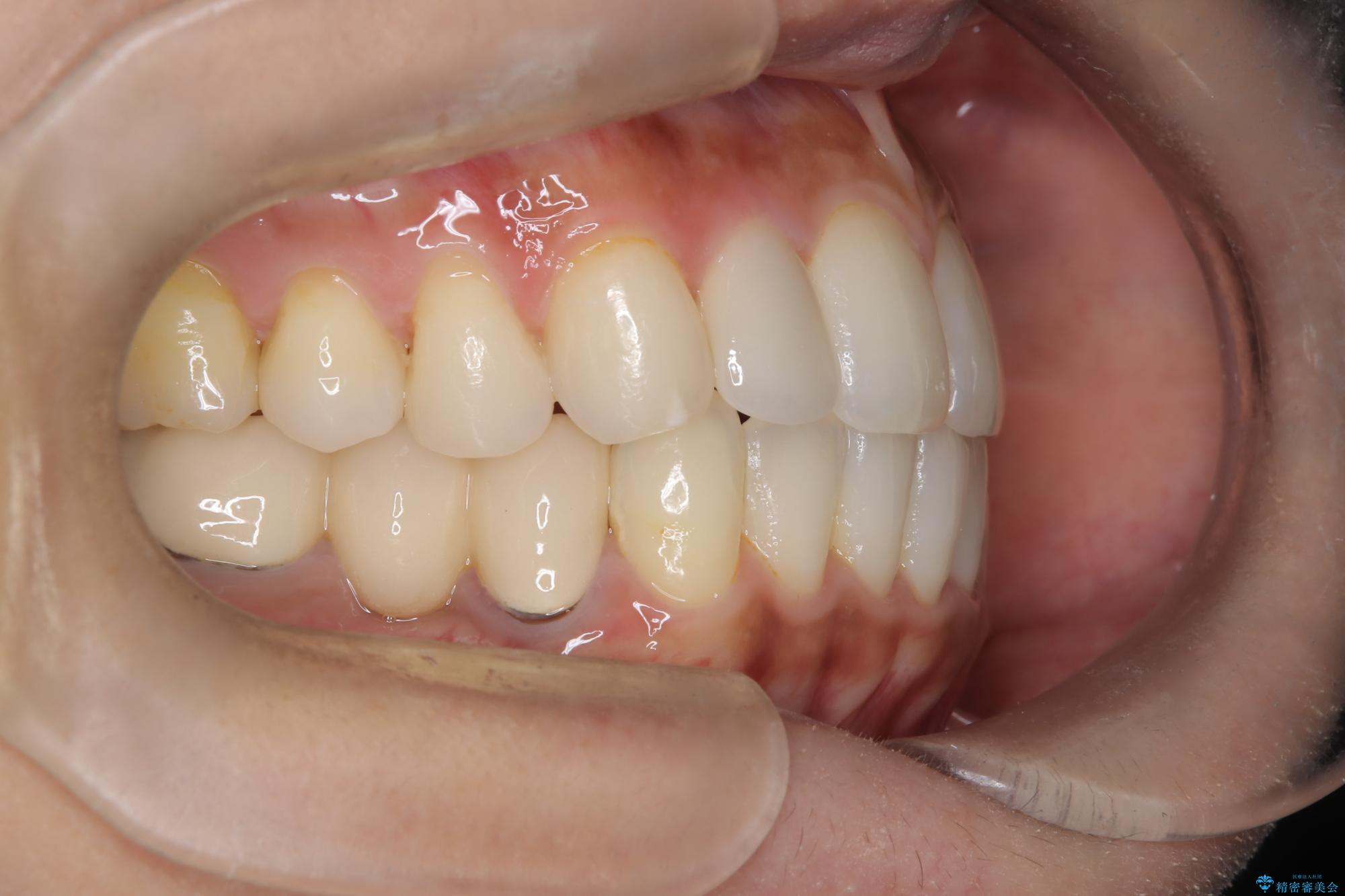
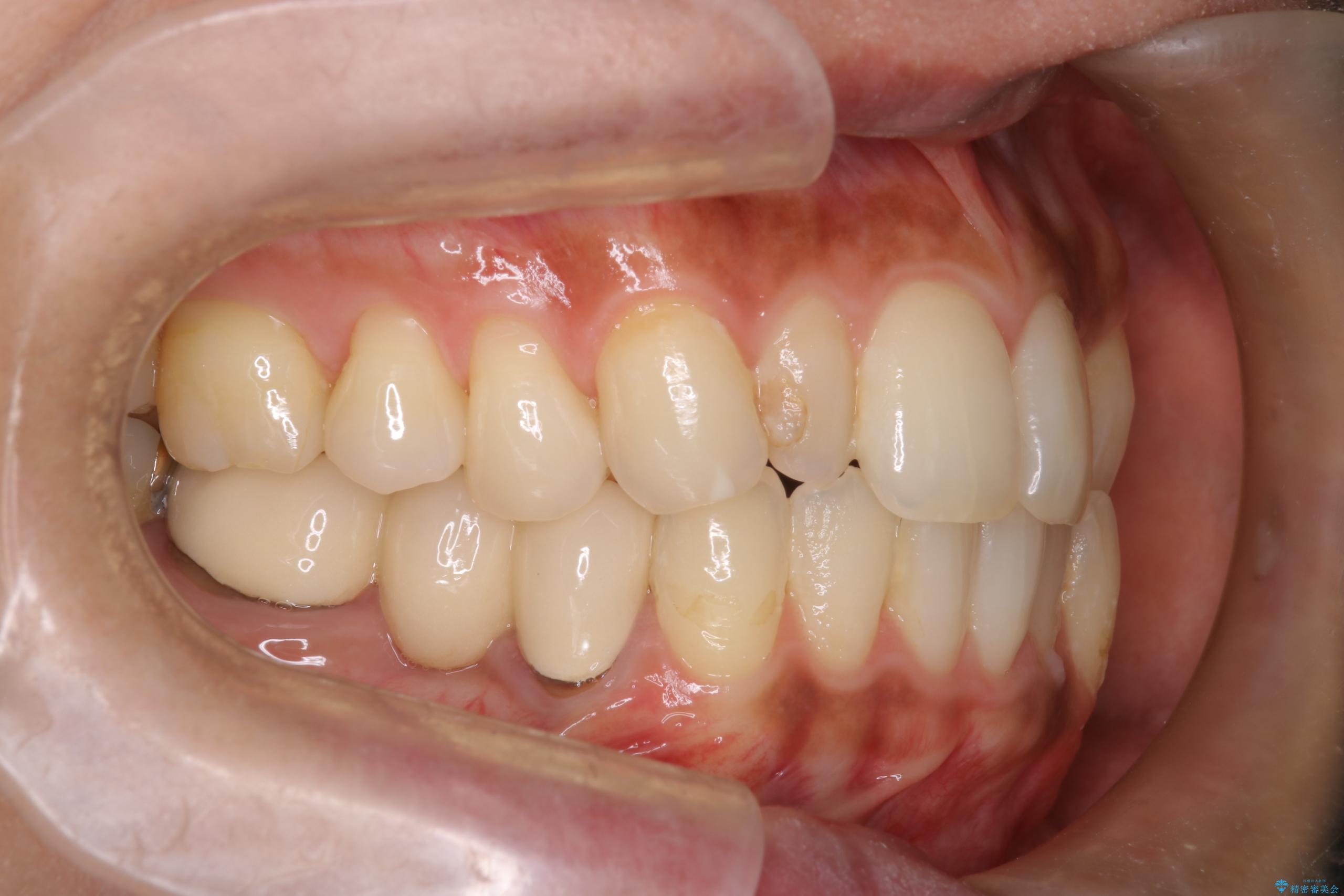
- 前歯に矮小歯(小さい歯)があり、歯並びの乱れを伴っていたため、インビザライン矯正を行い、まず理想的な位置まで歯を移動させました。その後、矮小歯に対しては審美性と機能性を回復するためセラミッククラウンによる修復を実施。最終的に美しく自然な歯列と歯の形態を実現し、患者様が希望する審美性を高めました。
- 費用(概算)
- 80万円費用は治療当時の料金となります
治療について
矮小歯により歯の大きさが揃わず、審美的に満足できない状態でした。まずインビザライン矯正にて歯並びを理想的な位置に調整し、スペースや噛み合わせを整えました。その後、矮小歯にセラミッククラウンを被せ、歯の形態・色調を隣接する天然歯に合わせて仕上げました。矯正治療とセラミック修復を併用することで、調和の取れた美しい歯列と自然な口元を手に入れ、大変満足いただけました。
セラミック治療の注意事項(リスク・副作用など)
- 天然歯を削ります
- 硬い素材は天然歯を傷つけてしまう場合があります
- かみ合わせや歯ぎしりが強すぎる方はセラミックが割れてしまう可能性があります
- 自費診療(保険適用外治療)となります
マウスピース矯正の注意事項(リスク・副作用など)
- 口腔内・歯並びの状態によっては対応できない場合があります
- マウスピース型矯正装置の長時間装着(1日20時間以上)が必須です
- 治療計画通りに進めるためには、患者様の意志が重要になります
- 矯正治療後の保定が不十分だと後戻り(元の位置に戻ろうとする動き)をします
- 薬機法対象外の矯正歯科装置のため医薬品副作用被害救済制度の対象外となる場合があります
- 自費診療(保険適用外)となります
当サイトの内容、テキスト、画像等の無断転載、複製、複写、盗用を固く禁じます。















