症例・治療例紹介
Cases
セラミック治療 → 前歯ブリッジ
1ページ目 / 17
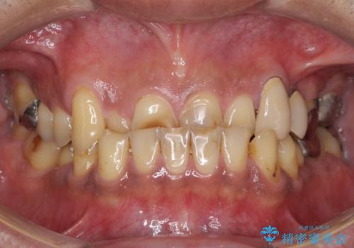
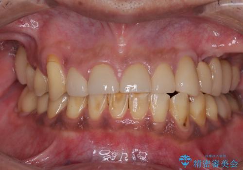
外れるブリッジと気になる八重歯 総合歯科治療で美しい口元に


歯周病 、インプラント、 矯正 全顎治療
担当医 大元洋佑


前歯の開咬とシザーズバイトを改善|インビザライン矯正


以前の治療箇所が痛む 全顎的なむし歯治療


不具合の多い前歯 オールセラミックブリッジ治療


全体的なデコボコが気になる。拡大装置を併用したワイヤー矯正


割れてしまった歯と深いむし歯 部分矯正と外科処置で安定したブリッジ治療


セラミック インプラント 全顎治療
担当医 大元洋佑


仮歯が汚くて転院 前歯のオールセラミッククラウン治療


反対咬合ですり減った前歯とむし歯だらけの奥歯 総合歯科治療


放置した歯列 矯正治療とインプラント治療で劇的に改善
担当医 藤巻太一朗


前歯の審美的なブリッジ (歯列矯正後)


重度のがたつき 矯正治療+セラミック治療で綺麗な歯並びに 矯正専門では難しい治療
担当医 井上季実子


セラミック治療の注意事項(リスク・副作用など)
- 天然歯を削ります
- 硬い素材は天然歯を傷つけてしまう場合があります
- かみ合わせや歯ぎしりが強すぎる方はセラミックが割れてしまう可能性があります
- 自費診療(保険適用外治療)となります




