症例詳細
Case detail
前歯ブリッジのやり変え希望 オールセラミッククラウン
治療症例の内容
- 診療科目
- 治療カテゴリ
- 担当医
- 小澤俊哉(ドクタープロフィール)
- 患者様
- 30代男性
- 治療期間
- 1ヶ月
- 治療回数
- 2-5回
- 治療計画
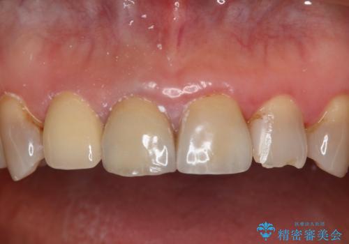
- 前歯ブリッジのやり変えを希望され来院された患者様です。
審美性を重視されていたので、オールセラミッククラウン(スペシャル)でのブリッジを選択されました。
- 費用(概算)
- 495000円(税込)費用は治療当時の料金となります
治療について
周りの歯との色調に合わせた綺麗なブリッジを入れることができました。
セラミック治療の注意事項(リスク・副作用など)
- 天然歯を削ります
- 硬い素材は天然歯を傷つけてしまう場合があります
- かみ合わせや歯ぎしりが強すぎる方はセラミックが割れてしまう可能性があります
- 自費診療(保険適用外治療)となります
当サイトの内容、テキスト、画像等の無断転載、複製、複写、盗用を固く禁じます。










