症例・治療例紹介
Cases
最新の症例
前歯のデコボコを治したい インビザライン矯正治療


ガタつきと口元の改善 抜歯を伴うワイヤー矯正


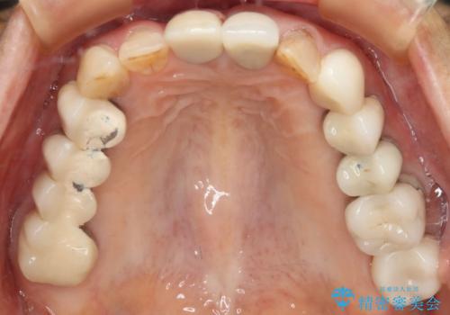
[ 総合歯科診療 ] がたつきの改善とセラミック治療
![[ 総合歯科診療 ] がたつきの改善とセラミック治療の症例 治療前](https://seimitsushinbi.jp/wp/wp-content/uploads/2024/03/f0f438a14c56b185411649f48b5b188c-500x350.jpg?v=1710833163)
![[ 総合歯科診療 ] がたつきの改善とセラミック治療の症例 治療後](https://seimitsushinbi.jp/wp/wp-content/uploads/2024/03/7212917eb9c4ef33050c52e7f9724490-500x350.jpg?v=1710833188)
出っ歯と歯のねじれ 非抜歯で 30代男性


NEW ティオンオフィスホワイトニング(処置前クリーニング込)
担当医 歯科衛生士


本来は外科ケース:インビザラインで前歯の重度がたつきとオープンバイトの改善


ツギハギの被せ物をキレイなセラミックへ


インビザライン矯正 短期間でがたつきのないきれいな歯並びに


がたつき、口ゴボ(出っ歯)、真ん中のずれを抜歯矯正治療で治す。ワイヤー矯正治療


がたつきが強いガチャ歯。埋伏歯抜歯+矯正。すごいところに犬歯が埋まっていたのを抜いてワイヤー矯正治療


前歯の不自然なセラミック 下のすきっ歯 矯正治療で総合的に美しく


前歯のガタつきをマウスピース矯正で改善


インビザライン矯正 過去に矯正治療したが、また前歯にがたつきがでてきて治したい


歯が折れている(1DAY インプラント)




