電話予約
無料相談予約
選ばれる理由
Reason
歯科医師紹介
Doctor
診療科目
Services
症例写真
Case photo
動画
Movie
治療費一覧
Price
医院紹介
Clinic
症例・治療例紹介
Cases
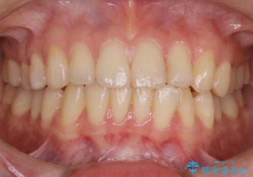
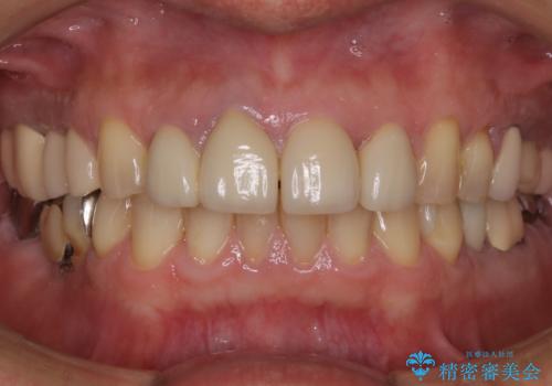
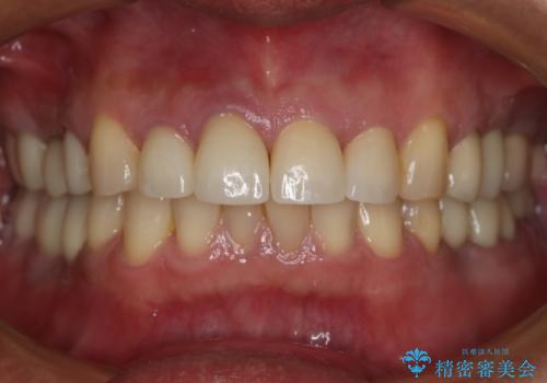
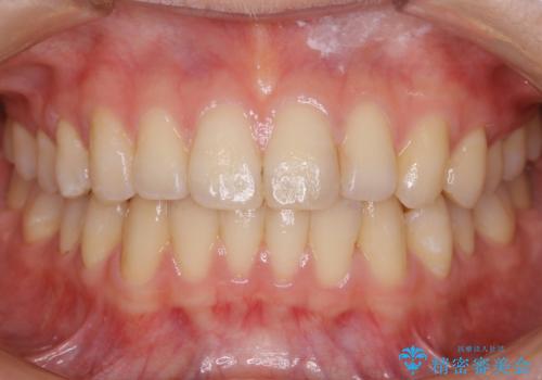
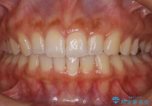
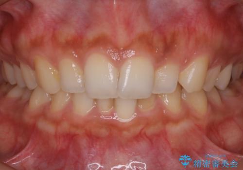
Dr. 今村大二郎の症例写真
1ページ目 / 5
担当医 今村大二郎<2025年9月29日更新>
担当医 今村大二郎<2025年8月17日更新>
担当医 今村大二郎<2025年7月20日更新>
担当医 今村大二郎<2025年6月23日更新>
担当医 今村大二郎<2024年12月6日更新>
担当医 今村大二郎<2024年11月26日更新>