症例・治療例紹介
Cases
最新の症例
非常に骨が薄い奥歯 最短期間でのインプラント治療


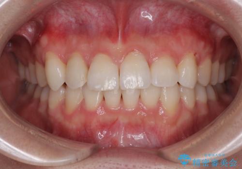
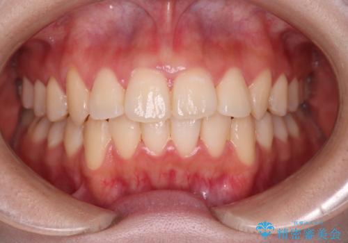
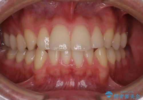
捻転の強い前歯 ワイヤー装置での非抜歯矯正


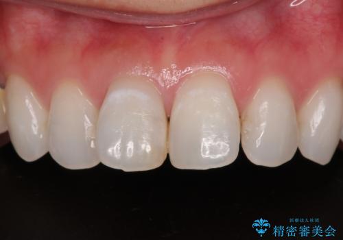
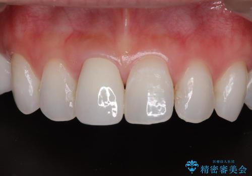
変色を綺麗にしたい 前歯と奥歯のオールセラミッククラウン治療


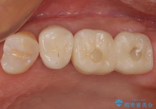
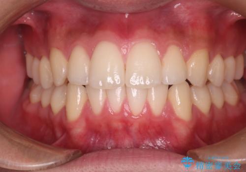
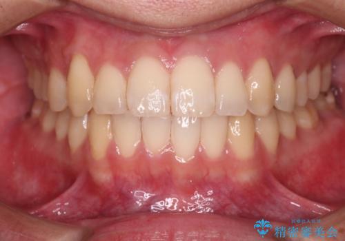
矯正治療で移動を終えた歯 オールセラミッククラウンでのむし歯治療


欠損した奥歯 インプラントによる補綴治療


矯正が終わったのでセラミックに変えていきたい オールセラミッククラウン
担当医 有澤哲郎


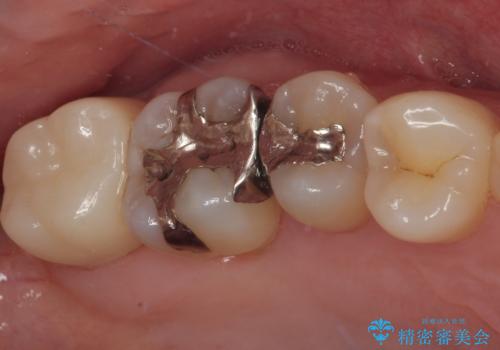
銀歯をセラミックにしたい オールセラミッククラウン
担当医 有澤哲郎


長期的な予後を見据えたインプラント治療


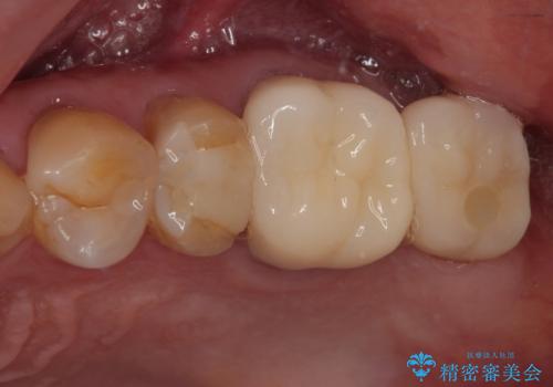
銀歯を外したい オールセラミッククラウン
担当医 有澤哲郎


【インビザライン】マウスピースで開咬改善


【インビザラインモニター】前歯が出ているのが気になる


【クリア装置】八重歯とがたつきを綺麗に


右下の銀歯が外れた オールセラミッククラウン
担当医 有澤哲郎


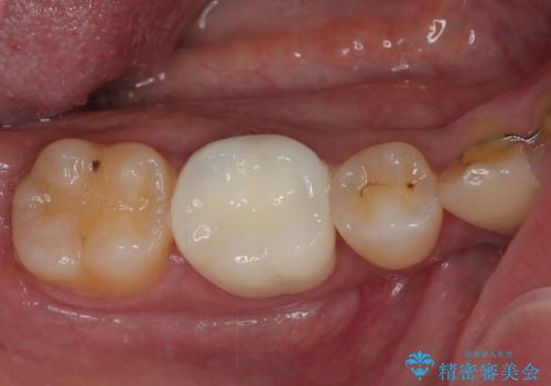
左下の奥歯が欠けた フルジルコニアクラウン・親知らず抜歯
担当医 有澤哲郎




