症例詳細
Case detail
銀歯を白くしたい!|オールセラミッククラウンで審美回復
治療症例の内容
- 診療科目
- 治療カテゴリ
- 担当医
- 河野豊嘉(ドクタープロフィール)
- 患者様
- 50代男性
- 治療期間
- 治療回数
- 2-5回
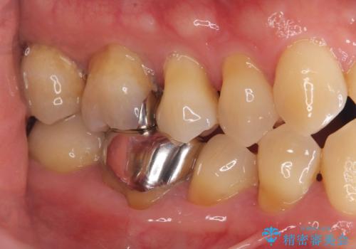
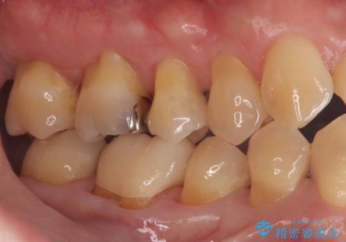
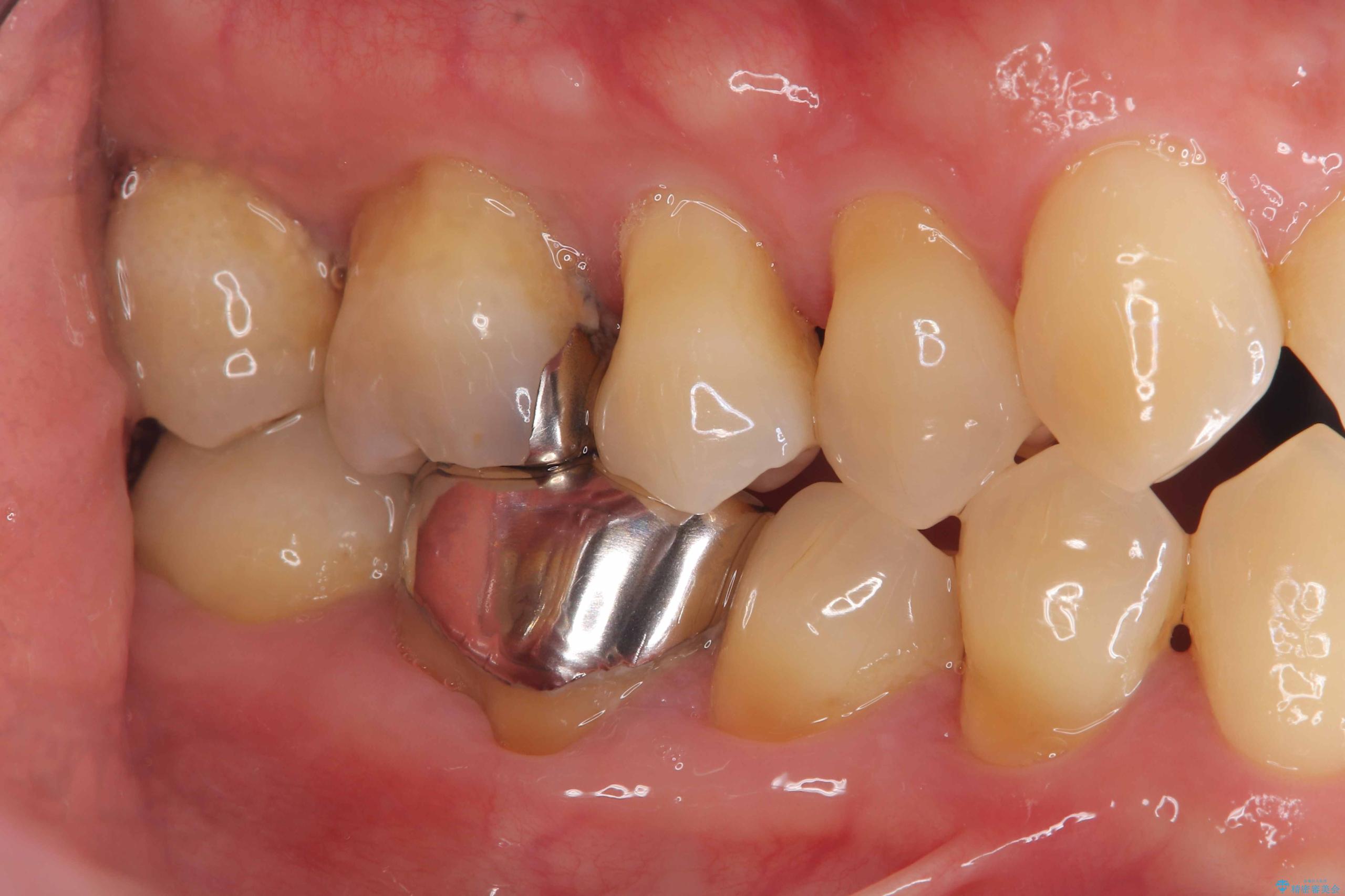
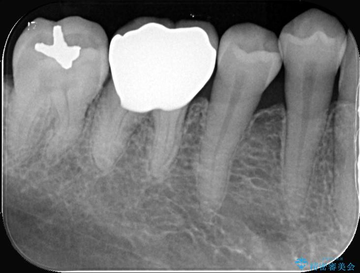
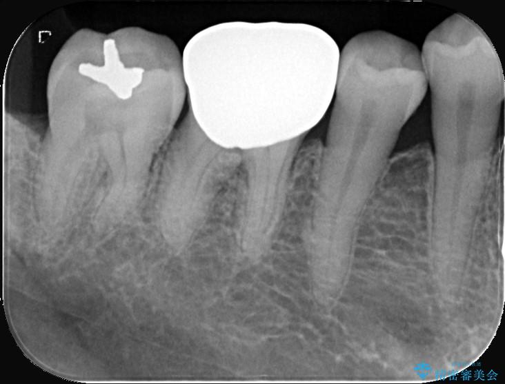
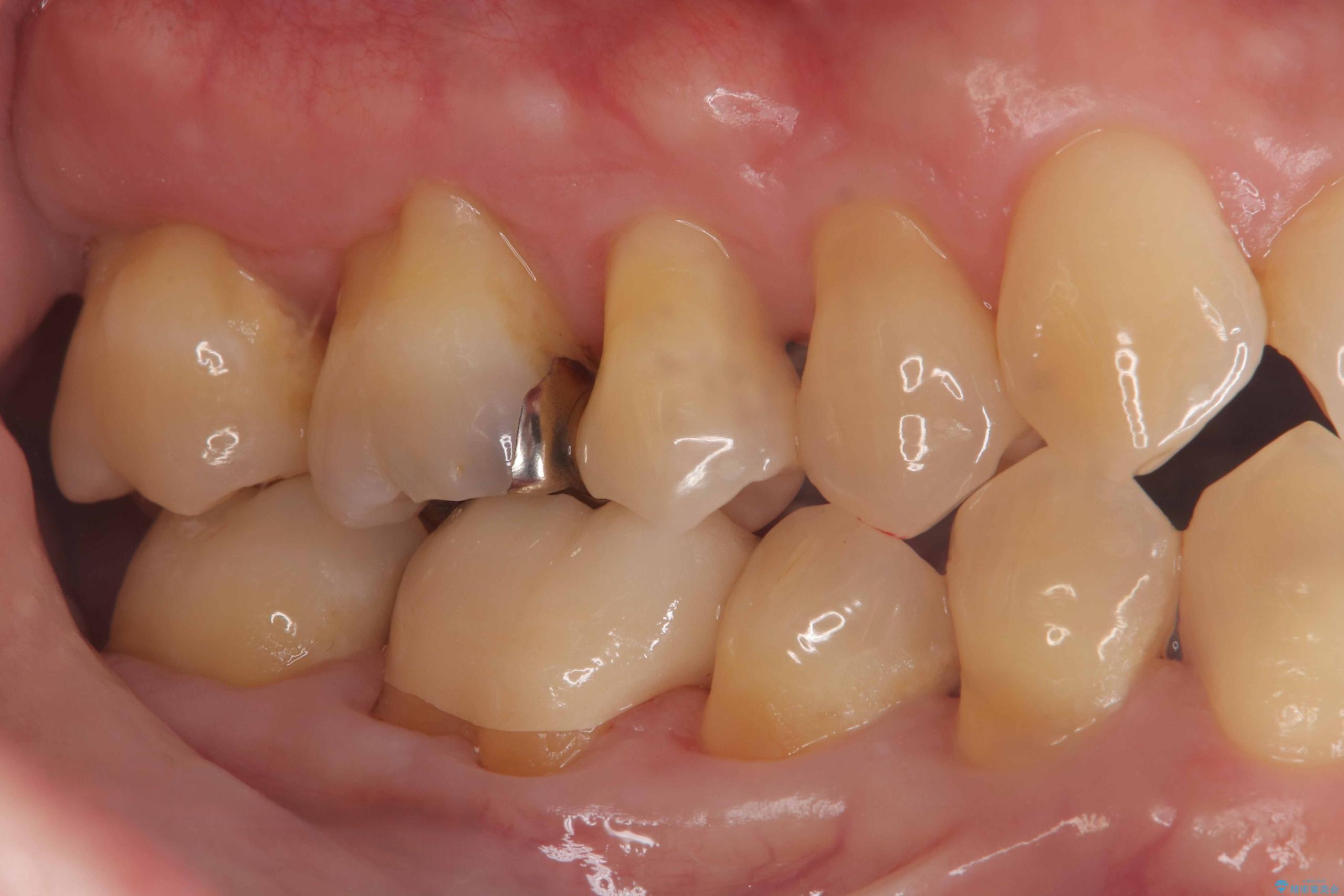
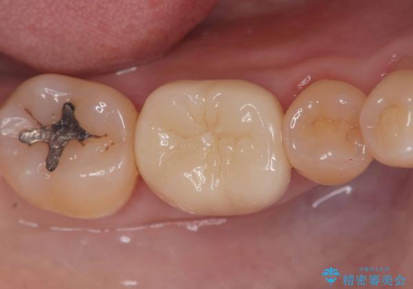
- 治療計画
- 「銀歯を白くしたい」を主訴に来院された患者様です。銀歯を外し虫歯を除去後、オールセラミッククラウンで治療を行いました。
- 費用(概算)
- 132,000円(仮歯:10,000円+オールセラミッククラウン 3年保証110,000円)費用は治療当時の料金となります
治療について
銀歯を外して内部の虫歯を丁寧に除去した後、オールセラミッククラウンにて修復を行いました。審美性と機能性の両面で改善が得られ、患者様にもご満足いただきました。
セラミック治療の注意事項(リスク・副作用など)
- 天然歯を削ります
- 硬い素材は天然歯を傷つけてしまう場合があります
- かみ合わせや歯ぎしりが強すぎる方はセラミックが割れてしまう可能性があります
- 自費診療(保険適用外治療)となります
当サイトの内容、テキスト、画像等の無断転載、複製、複写、盗用を固く禁じます。







