症例・治療例紹介
Cases
最新の症例
他院で次に虫歯になったら治せないと言われた 歯周外科手術でしっかり治療(APF)


虫歯による歯の喪失 インプラントによる咬合機能回復


大人の上唇小帯切除 前歯のすき間の原因になります
担当医 井上季実子


受け口 マウスピースで矯正治療 難易度:中


奥歯が痛い。根管治療~オールセラミッククラウンの治療
担当医 河口智英


奥歯の根管治療~オールセラミッククラウン


受け口 親知らずを取り込む矯正治療


口ゴボでお悩みの方必見! 不自然なセラミックをやり直す矯正 セラミックだけでは、口元は下がりません。


セラミックインレー 下の一番奥歯 歯ぐきの厚みを減らしてぴったりに入れます(ディスタルウェッジ+骨外科)


上の前歯が一部引っ込んでいる 下のがたがた マウスピース矯正


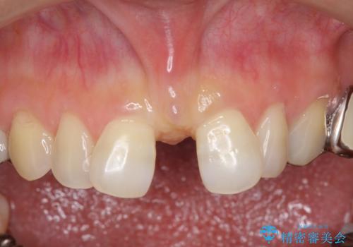
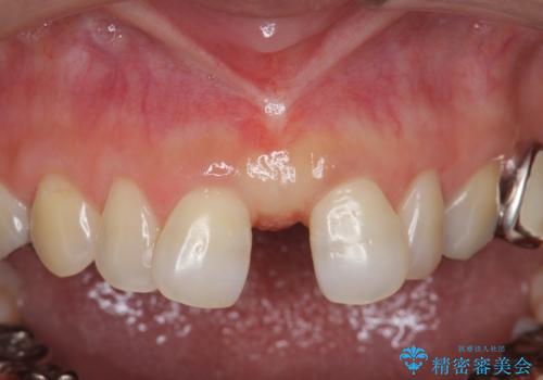
[歯周病治療] 歯周補綴 インプラント補綴
![[歯周病治療] 歯周補綴 インプラント補綴の症例 治療前](https://seimitsushinbi.jp/wp/wp-content/uploads/2020/03/067ed603e15bc4c623e950ffbd6c0829-500x350.jpg?v=1585493851)
![[歯周病治療] 歯周補綴 インプラント補綴の症例 治療後](https://seimitsushinbi.jp/wp/wp-content/uploads/2020/03/93a1bf8bd8e0f11621dbb40f6f1d795c-500x350.jpg?v=1585494318)
放置してしまった歯 根管治療からの機能回復








