症例・治療例紹介
Cases
最新の症例
欠損して隙間のある前歯 オールセラミッククラウンで自然な口元に


【モニター】口が閉じられない ワイヤー装置での抜歯矯正
担当医 藤巻太一朗


むし歯と八重歯を治したい 総合歯科治療


骨よりも深く進行したむし歯 即時荷重インプラントでの短期間治療


放置していたむし歯 抜歯即時埋入インプラントによる補綴治療


口が閉じられない 抜歯矯正で前歯の突出感を改善


飛び出した前歯を治したい ワイヤー装置での抜歯矯正


捻れた前歯を楽して改善 ワイヤー装置での非抜歯矯正


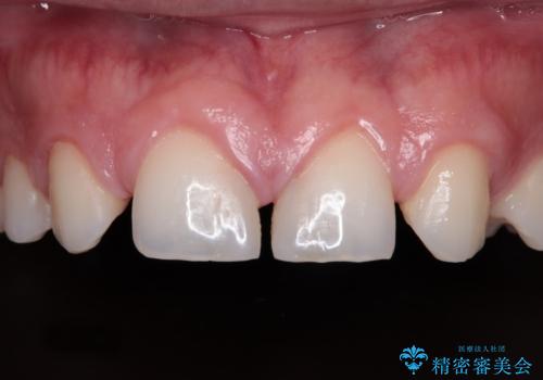
[ セラミック治療 ] 仮歯で放置した前歯をきれいにしたい
担当医 大元洋佑
![[ セラミック治療 ] 仮歯で放置した前歯をきれいにしたいの症例 治療前](https://seimitsushinbi.jp/wp/wp-content/uploads/2025/05/6890296d4c82e781ad96061d3f6d4f20-500x350.jpg?v=1746172426)
![[ セラミック治療 ] 仮歯で放置した前歯をきれいにしたいの症例 治療後](https://seimitsushinbi.jp/wp/wp-content/uploads/2025/05/81a7c44674b0a5de5dd831ff43275a2e-500x350.jpg?v=1746172464)
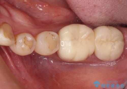
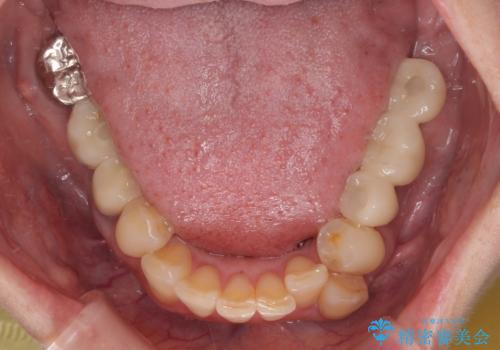
低侵襲なインプラント|痛くないインプラント|エンドペリオ病変|虫歯治療|セラッミクインレー


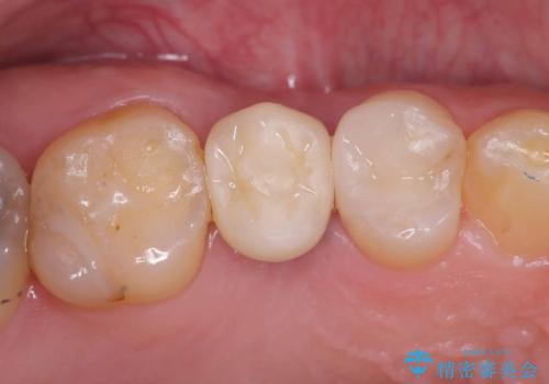
銀歯を白くしたい|オールセラミッククラウン
担当医 河野豊嘉


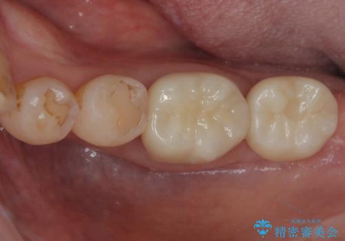
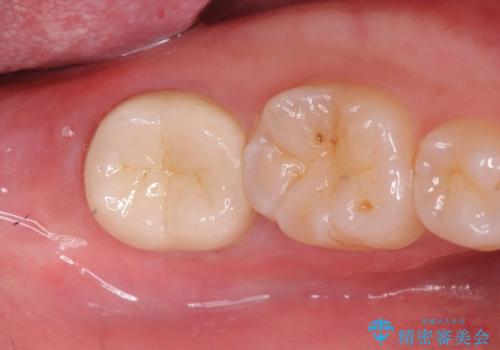
セラッミクインレー|オールセラミッククラウン|銀歯による二次カリエス|ラバーダムシート使用


銀歯の下の虫歯|オールセラミッククラウン|歯を長持ちさせるための治療|歯の神経を守る
担当医 河野豊嘉


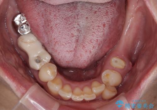
矮小歯を伴う叢生を審美的に改善|インビザライン矯正+セラミッククラウン修復




