症例詳細
Case detail
飛び出した前歯を治したい ワイヤー装置での抜歯矯正
治療症例の内容
- 診療科目
- 担当医
- 藤巻太一朗(ドクタープロフィール)
- 患者様
- 30代男性
- 矯正装置
- 審美装置
- 治療期間
- 4年8ヶ月
- 治療回数
- 30回以上
- 治療計画
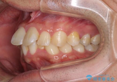
- 上下ともに前歯2本が著しく飛び出している状態を気にして来院された患者様です。
唇の閉じにくさが認められたため、上下左右の小臼歯を1本ずつ、計4本を抜歯してワイヤー装置にて矯正治療を行うこととしました。
左上は、定石として抜歯される第一小臼歯の代わりに、神経が除去されている第二小臼歯を抜歯することとしました。
セオリーから外れた治療となるため、補助装置などを使用してよりよい仕上がりを目指すこととしました。
- 費用(概算)
- 治療費の目安: 110万円(税込)費用は治療当時の料金となります
治療について
第二小臼歯を抜歯したことだけでなく、非常に強い咬合力もあり、治療期間は非常に長期となりましたが、しっかりと仕上げることができました。
ワイヤー矯正の注意事項(リスク・副作用など)
- 治療中は違和感や痛みが起こることがあります
- 症状により、抜歯が必要な場合があります
- 治療中は歯磨きがしにくくなるため、虫歯や歯周病になりやすくなります
- 矯正治療後の保定が不十分だと後戻り(元の位置に戻ろうとする動き)をします
- 自費診療(保険適用外)となります
当サイトの内容、テキスト、画像等の無断転載、複製、複写、盗用を固く禁じます。


























