症例詳細
Case detail
低侵襲なインプラント|痛くないインプラント|エンドペリオ病変|虫歯治療|セラッミクインレー
治療症例の内容
- 担当医
- 河野豊嘉(ドクタープロフィール)
- 患者様
- 50代男性
- 治療期間
- 6ヶ月
- 治療回数
- 5-10回
- 治療計画
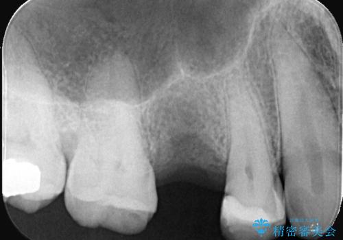
- 「歯茎にニキビみたいのが出来て歯が揺れている」を主訴に来院された患者様です。
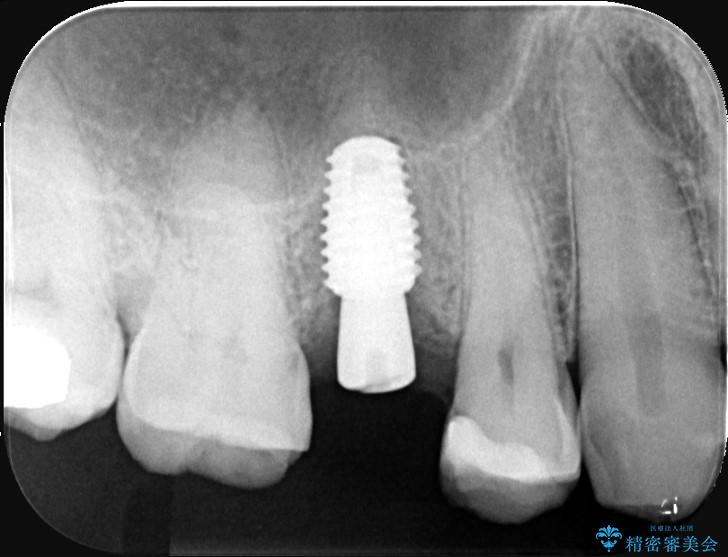
右上5番が根尖性歯周炎と歯周病が同時に併発しており、骨が大きく溶け、歯の動揺も著しかったため保存困難と判断をし抜歯してインプラントで治療を行いました。
インプラントはインプラント周囲炎になりにくいスクリュータイプを使用しています。
右上4番は虫歯になっていたので、虫歯を除去後、セラッミクインレーで治療を行いました。
- 費用(概算)
- 税込814,000円(インプラント10年保障297,000円+カスタムアバットメント110,000円+オールセラミッククラウンエクセレント220,000円+骨造成55,000円+セラミックインレー77,000円act)費用は治療当時の料金となります
治療について
従来のインプラント治療では、オペを二回に分けることが主流でしたが今は1回のオペで治療を終える事が出来るようになりました。
インプラントと骨が強度にくっつくように骨密度を上げながらドリリングを行っているのと、患者様の骨の状態に合わせてインプラントの形態を選ぶことで可能となっています。
オペの回数を最小にする事で患者様の治療への負担が減り、治療期間も従来の治療より大幅に短くする事が可能です。
セラミック治療の注意事項(リスク・副作用など)
- 天然歯を削ります
- 硬い素材は天然歯を傷つけてしまう場合があります
- かみ合わせや歯ぎしりが強すぎる方はセラミックが割れてしまう可能性があります
- 自費診療(保険適用外治療)となります
インプラント治療の注意事項(リスク・副作用など)
- 外科手術のため、術後に痛みや腫れ、違和感を伴います
- メンテナンスを怠ったり喫煙により、お口の中に大きな悪影響を及ぼすインプラント周囲炎等にかかる可能性があります
- 糖尿病、肝硬変、心臓病等の場合、インプラント治療ができない可能性があります
- 高血圧、貧血・不整脈等の場合、インプラント治療後に治癒不全を招く可能性があります
- 自費診療(保険適用外治療)となります
当サイトの内容、テキスト、画像等の無断転載、複製、複写、盗用を固く禁じます。

















