症例詳細
Case detail
銀歯を白くしたい|オールセラミッククラウン
治療症例の内容
- 診療科目
- 治療カテゴリ
- 担当医
- 河野豊嘉(ドクタープロフィール)
- 患者様
- 30代男性
- 治療期間
- 1ヶ月
- 治療回数
- 2-5回
- 治療計画
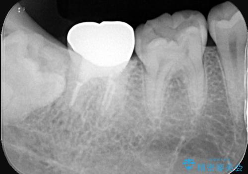
- 「銀歯を白くしたい」を主訴に来院された患者様です。
銀歯と虫歯を除去後、オールセラミッククラウンで治療を行いました。
- 費用(概算)
- 税込132,000円(オールセラミッククラウン121,000円+仮歯11,000円)費用は治療当時の料金となります
治療について
銀歯を除去後、オールセラミッククラウンで治療を行いました。
根管治療はご希望されなかったため被せ物のみ治療しています。
クリアランスが少なかったため支台歯の真ん中に保持溝を入れています。
セラミック治療の注意事項(リスク・副作用など)
- 天然歯を削ります
- 硬い素材は天然歯を傷つけてしまう場合があります
- かみ合わせや歯ぎしりが強すぎる方はセラミックが割れてしまう可能性があります
- 自費診療(保険適用外治療)となります
当サイトの内容、テキスト、画像等の無断転載、複製、複写、盗用を固く禁じます。







