症例・治療例紹介
Cases
最新の症例
前歯のクロスバイトを改善 インビザラインによる矯正治療


すきっ歯を治したい。インビザライン・ライトによる矯正治療


【インビザライン】がたつきをなおしたい
担当医 河口智英


【インビザライン】前歯のすき間をなおしたい。


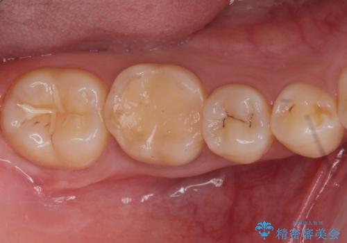
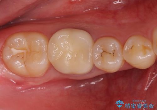
食べ物食べたら歯が欠けた。
担当医 青山卓弘


[ 舌小帯形成術 ] 滑舌を良くしたい
担当医 大元洋佑
![[ 舌小帯形成術 ] 滑舌を良くしたいの症例 治療前](https://seimitsushinbi.jp/wp/wp-content/uploads/2023/01/87fb02ce145a6aebc116d6985f9b25ec-500x350.jpg?v=1674797410)
![[ 舌小帯形成術 ] 滑舌を良くしたいの症例 治療後](https://seimitsushinbi.jp/wp/wp-content/uploads/2023/01/3f6c48743aa87970ff6032bdd964ebf5-500x350.jpg?v=1674797425)
【オールセラミック】前歯の色を変えたい。
担当医 河口智英


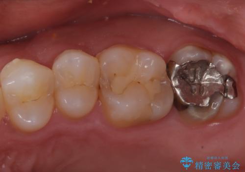
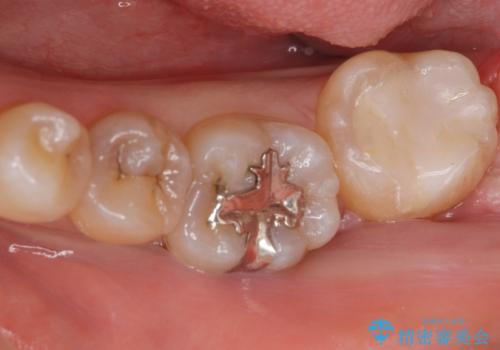
全顎的 虫歯治療 インプラント補綴


前歯のすれ違い マウスピース矯正


吸収し喪失した前歯、ブリッジによる審美性の回復
担当医 大元洋佑


樹脂をセラミックにしたい ジルコニアクラウンでの治療
担当医 岡田康成


内側に入っていた前歯とガタつきをインビザラインで綺麗に並べる








