症例詳細
Case detail
前歯のすれ違い マウスピース矯正
治療症例の内容
- 患者様
- 20代男性
- 矯正装置
- インビザライン
- 治療期間
- 1年
- 治療回数
- 10-30回
- 治療計画
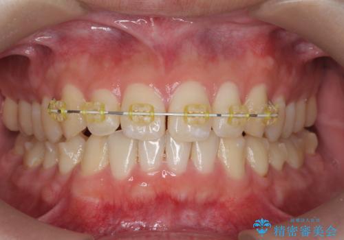
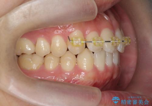
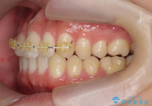
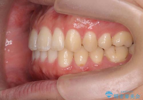
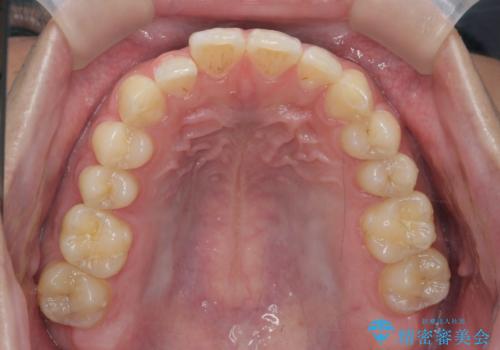
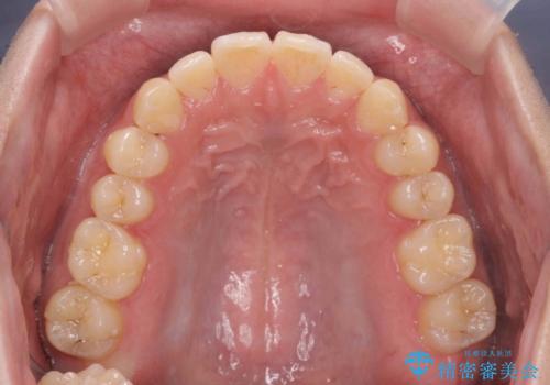
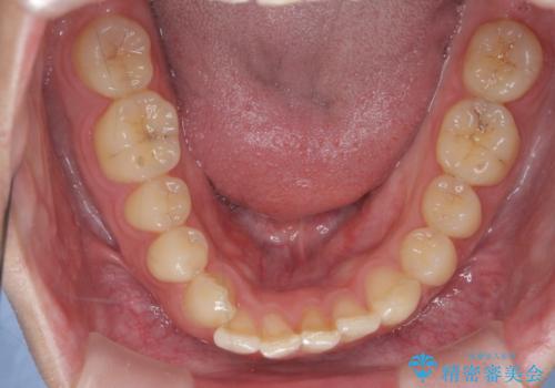
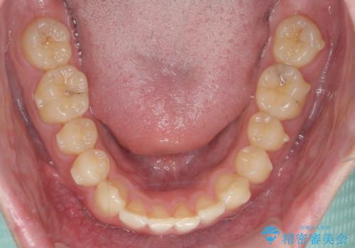
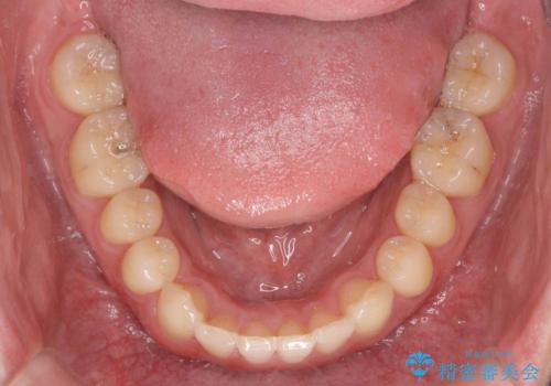
- 前歯のすれ違い、ガタつきを治したい。と矯正治療を希望され来院されました。
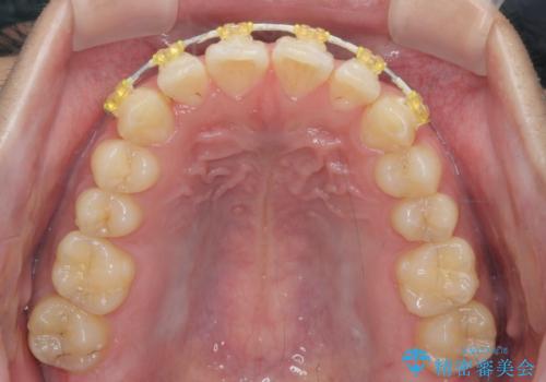
すれ違いの噛み合わせを早期にワイヤー治療を短期間かつ前歯部分のみ行い,そののちマウスピース矯正インビザラインで歯並びを整えていきます。
- 費用(概算)
- 88万円費用は治療当時の料金となります
治療について
上下のすれ違いは、マウスピースでは解消に時間がかかり、またすれ違う際に当該歯に大きな負担がかかることが大きな欠点です。
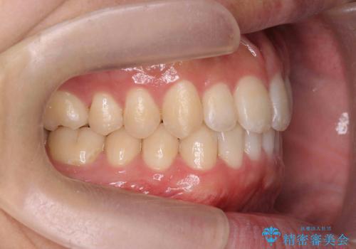
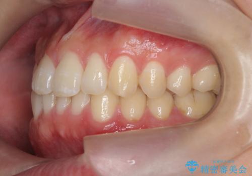
部分矯正を短期間行うことで治療期間の短縮も行うことができました。
マウスピース矯正の注意事項(リスク・副作用など)
- 口腔内・歯並びの状態によっては対応できない場合があります
- マウスピース型矯正装置の長時間装着(1日20時間以上)が必須です
- 治療計画通りに進めるためには、患者様の意志が重要になります
- 矯正治療後の保定が不十分だと後戻り(元の位置に戻ろうとする動き)をします
- 薬機法対象外の矯正歯科装置のため医薬品副作用被害救済制度の対象外となる場合があります
- 自費診療(保険適用外)となります
当サイトの内容、テキスト、画像等の無断転載、複製、複写、盗用を固く禁じます。















