症例・治療例紹介
Cases
最新の症例
転んで欠けてしまった前歯 抜歯を回避してオールセラミッククラウンで審美回復


上下の歯が接触するだけで痛い 根管治療とオールセラミック治療


深い咬み合わせと前歯のデコボコ インビザラインによる矯正治療


欠けてしまったセラミッククラウン 周囲のクラウンと同様の色彩で再製作


ナイトガードで歯ぎしり予防


前歯が出っ歯ですきっ歯 抜かずに前歯を見た目良く


左右に骨格がずれて咬みにくい ワイヤー装置による抜歯矯正


【モニター】隠れている下顎の前歯をインビザラインで改善


口が閉じにくい 目立たないワイヤー装置で口元をすっきりと


かみ合わせが悪いところを ワイヤー矯正でしっかり治療 マウスピース矯正は難しい症例


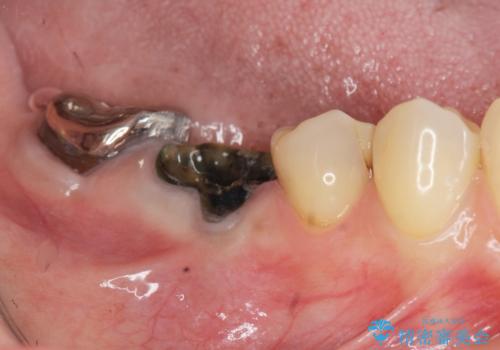
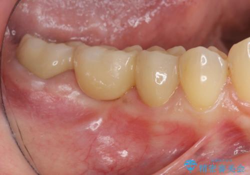
[ 重度歯周病 ] 骨造成・インプラント治療による咬合機能の回復
![[ 重度歯周病 ] 骨造成・インプラント治療による咬合機能の回復の症例 治療前](https://seimitsushinbi.jp/wp/wp-content/uploads/2023/03/14ce77237eb07b97238f044a087dfe7d-500x350.jpg?v=1678759178)
![[ 重度歯周病 ] 骨造成・インプラント治療による咬合機能の回復の症例 治療後](https://seimitsushinbi.jp/wp/wp-content/uploads/2023/03/653ce5328b3ab59b9ab143b906ecba0e-500x350.jpg?v=1678759187)
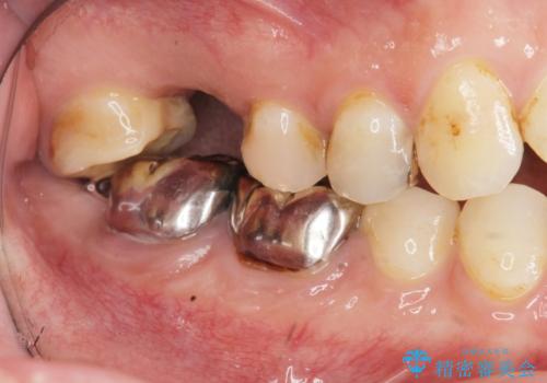
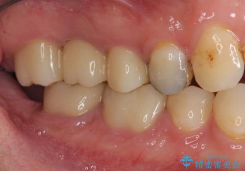
銀歯の下に大きな虫歯の再発
担当医 大元洋佑


「 セラミック治療 」奥歯を白くしたい






