症例詳細
Case detail
【モニター】上顎が狭い 急速拡大装置を用いたデコボコの解消
治療症例の内容
- 診療科目
- 担当医
- 藤巻太一朗(ドクタープロフィール)
- 患者様
- 20代女性
- 矯正装置
- 審美装置
- 治療期間
- 1年2ヶ月
- 治療回数
- 10-30回
- 治療計画
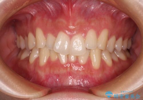
- 前歯の開咬と、上顎前歯の八重歯やデコボコを気にして来院された患者様です。
上顎歯列が狭窄していたため、急速拡大装置により上顎骨を側方に拡大し、その後ワイヤー装置にて矯正治療を行うこととしました。
- 費用(概算)
- 治療費の目安: 95万円(税込)費用は治療当時の料金となります
※顔写真掲載にあたり、患者様の了解を得ております
治療について
上顎骨を拡大することで、八重歯やデコボコを歯列に収めることができ、下顎の歯が外に位置していた奥歯の咬み合わせも改善することができました。
スペースも短期間に獲得できるため、1年程度で治療を終えることができました。
ワイヤー矯正の注意事項(リスク・副作用など)
- 治療中は違和感や痛みが起こることがあります
- 症状により、抜歯が必要な場合があります
- 治療中は歯磨きがしにくくなるため、虫歯や歯周病になりやすくなります
- 矯正治療後の保定が不十分だと後戻り(元の位置に戻ろうとする動き)をします
- 自費診療(保険適用外)となります
当サイトの内容、テキスト、画像等の無断転載、複製、複写、盗用を固く禁じます。



























