症例詳細
Case detail
左右に骨格がずれて咬みにくい ワイヤー装置による抜歯矯正
治療症例の内容
- 患者様
- 50代男性
- 矯正装置
- 審美装置
- 治療期間
- 3年6ヶ月
- 治療回数
- 10-30回
- 治療計画
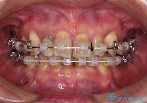
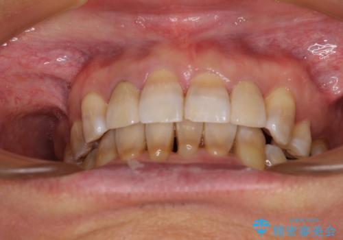
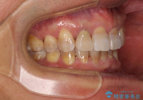
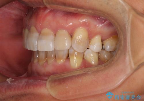
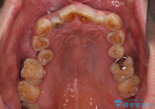
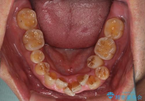
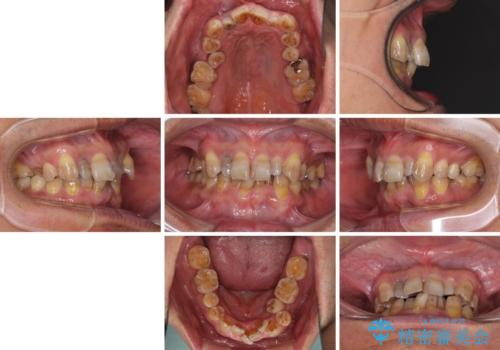
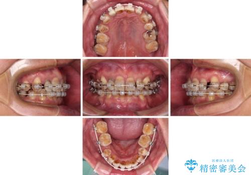
- 骨格的な咬み合わせのズレ、前歯のデコボコとクロスバイトを気にして来院された患者様です。
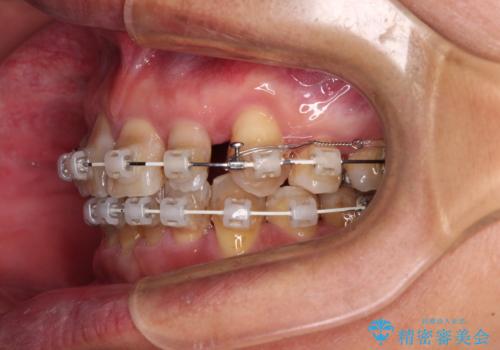
全額的にデコボコが強いため、上下左右の小臼歯計4歯を抜歯し、ワイヤー装置による矯正治療を行うこととしました。
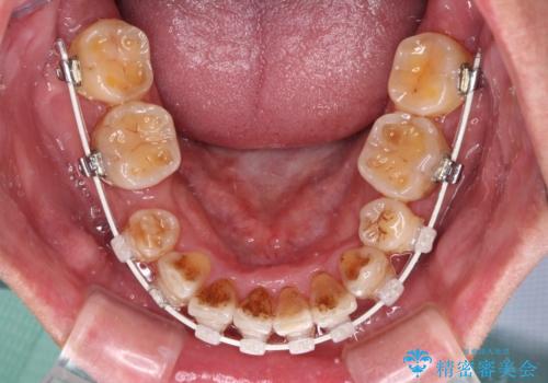
抜歯する歯の一部をセオリーである第一小臼歯ではなく、第二小臼歯にすることで、骨格的なずれをカバーするように計画しました。
- 費用(概算)
- 治療費の目安: 130万円(税込)費用は治療当時の料金となります
治療について
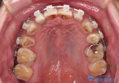
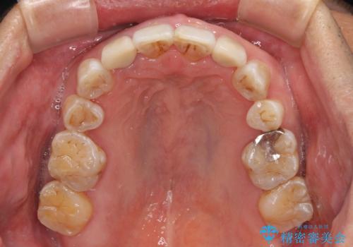
小臼歯の抜歯する部位を選択したことで、安定した咬み合わせとなりましたが、第二小臼歯を抜歯した部分はスペースを閉じるのに長い期間を要しました。
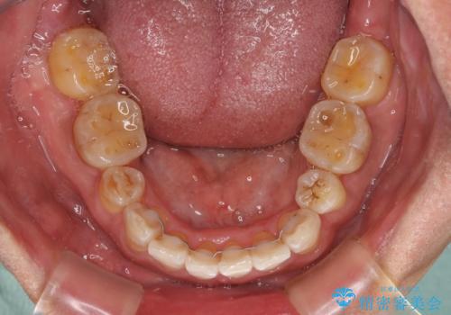
矮小歯であった上顎前歯2本は、矯正治療後にバランスの取れた大きさのオールセラミッククラウンを装着しました。
ワイヤー矯正の注意事項(リスク・副作用など)
- 治療中は違和感や痛みが起こることがあります
- 症状により、抜歯が必要な場合があります
- 治療中は歯磨きがしにくくなるため、虫歯や歯周病になりやすくなります
- 矯正治療後の保定が不十分だと後戻り(元の位置に戻ろうとする動き)をします
- 自費診療(保険適用外)となります
セラミック治療の注意事項(リスク・副作用など)
- 天然歯を削ります
- 硬い素材は天然歯を傷つけてしまう場合があります
- かみ合わせや歯ぎしりが強すぎる方はセラミックが割れてしまう可能性があります
- 自費診療(保険適用外治療)となります
当サイトの内容、テキスト、画像等の無断転載、複製、複写、盗用を固く禁じます。


























