症例・治療例紹介
Cases
最新の症例
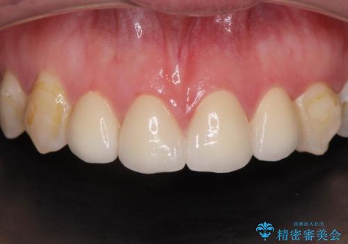
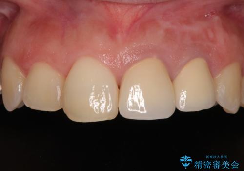
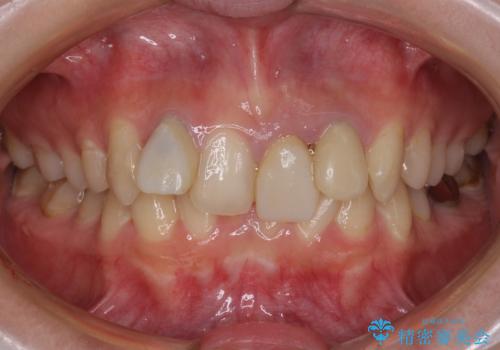
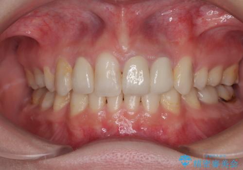
前歯綺麗にしたい。
担当医 青山卓弘


親知らず抜きたい。
担当医 青山卓弘


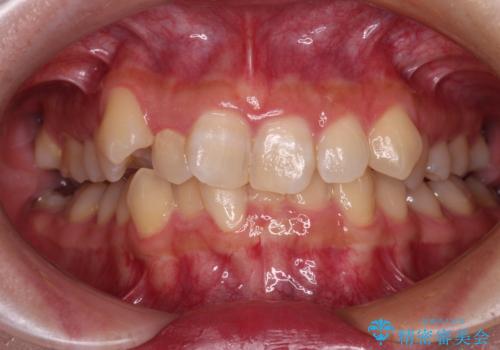
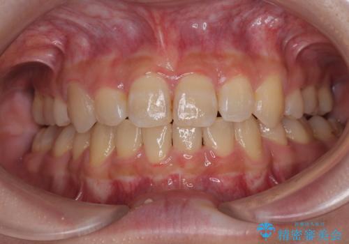
永久歯が埋もれて乳歯が残存 叢生改善のワイヤー抜歯矯正
担当医 藤巻太一朗


変色してきた歯とプラスチックのクラウン オールセラミッククラウン治療


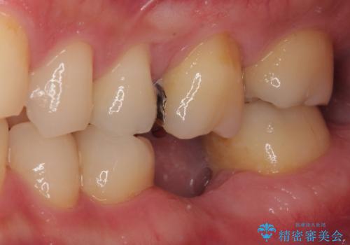
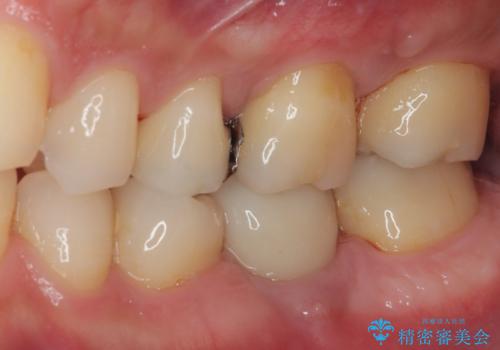
奥歯に歯を入れたい 即時荷重インプラントによる短期間インプラント治療


唇を閉じて眠れない ワイヤー装置での抜歯矯正で口元をスッキリと
担当医 藤巻太一朗


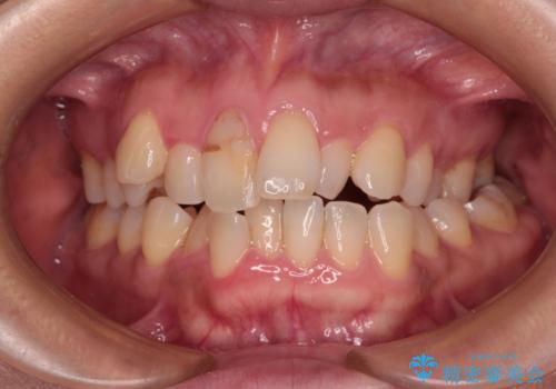
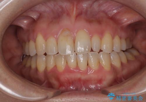
気になる八重歯 ワイヤー装置での抜歯矯正
担当医 藤巻太一朗


抜歯は避けたい? 1DAYインプラントに魅せられて抜歯即時埋入インプラントによる補綴治療


骨格的なズレを歯列矯正でカバー ワイヤー装置での非抜歯矯正


歯肉が腫れてズキズキする 奥歯の根管治療


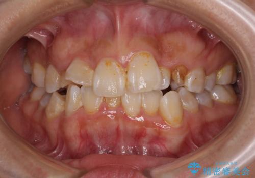
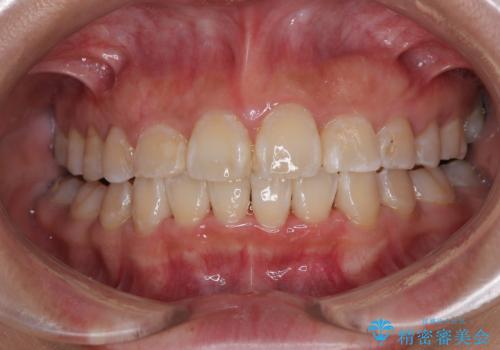
気になっていたむし歯と前歯のデコボコ 矯正治療とむし歯治療の総合歯科治療


奥歯が取れた フルジルコニアクラウン
担当医 小澤俊哉


放置した欠損部 奥歯の即時荷重インプラント治療


銀歯を白くしたい 一緒に矯正治療も行ない美しい口腔内に


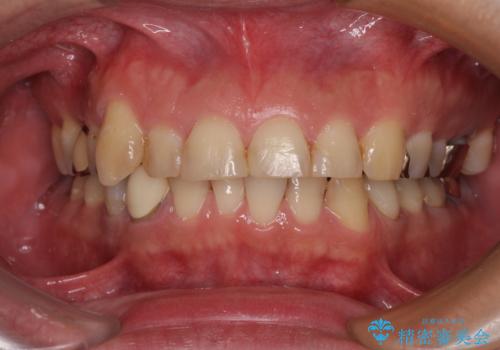
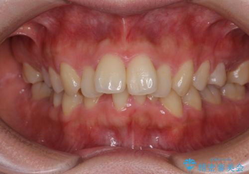
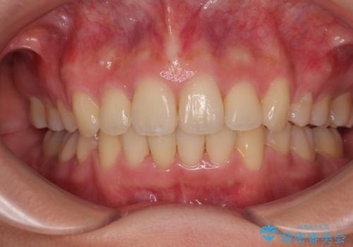
全顎的なデコボコと口元の突出感 ワイヤー装置での抜歯矯正で整った口元に


