症例・治療例紹介
Cases
総合歯科治療 → インプラント治療&矯正歯科治療
2ページ目 / 3
矯正の後戻りと奥歯の欠損 ワイヤー矯正とインプラント治療


伸びてしまった奥歯、咬合平面を揃えたインプラント治療


出っ歯と奥歯の欠損 ワイヤー矯正とインプラント治療


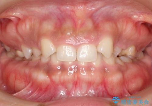
抜歯が必要な奥歯と前歯のデコボコ インプラント治療とインビザライン矯正治療


[ 歯周病・矯正・セラミック治療 ] 1つの医院で行う包括的歯科治療
担当医 大元洋佑
![[ 歯周病・矯正・セラミック治療 ] 1つの医院で行う包括的歯科治療の症例 治療前](https://seimitsushinbi.jp/wp/wp-content/uploads/2023/10/IMG_6364-500x350.jpg?v=1697786419)
![[ 歯周病・矯正・セラミック治療 ] 1つの医院で行う包括的歯科治療の症例 治療後](https://seimitsushinbi.jp/wp/wp-content/uploads/2023/10/90d18252b8dbe1975afad5c7598b2fb5-500x350.jpg?v=1697785801)
【抜歯】矯正治療とインプラントで正常な噛み合わせを実現
担当医 今村大二郎


隙間の空いた歯列とボロボロの乳歯 インプラント治療と矯正治療


割れてしまった歯が痛む 矯正とインプラントを併用した総合歯科治療
担当医 藤巻太一朗


むし歯と咬み合わせで奥歯に負担がかかる 総合歯科治療で悩みを改善
担当医 藤巻太一朗


【インビザライン】 前歯の反対咬合を治したい
担当医 河口智英


【総合歯科治療】インプラント+インビザライン


[ 先天性の前歯欠損 ] 矯正とインプラントの包括治療
![[ 先天性の前歯欠損 ] 矯正とインプラントの包括治療の症例 治療前](https://seimitsushinbi.jp/wp/wp-content/uploads/2022/12/3fbbdf32ff659566fa6c202e2fa05e30-500x350.jpg?v=1671606172)
![[ 先天性の前歯欠損 ] 矯正とインプラントの包括治療の症例 治療後](https://seimitsushinbi.jp/wp/wp-content/uploads/2022/12/e325c4369c68ab4ded73824110858d06-500x350.jpg?v=1671606193)
[ 歯周病治療 ] 小矯正を含むインプラント補綴・歯周補綴
担当医 大元洋佑
![[ 歯周病治療 ] 小矯正を含むインプラント補綴・歯周補綴の症例 治療前](https://seimitsushinbi.jp/wp/wp-content/uploads/2022/11/8b1f9fe311dd325d238de0a6219bf1cf-500x350.jpg?v=1669340971)
![[ 歯周病治療 ] 小矯正を含むインプラント補綴・歯周補綴の症例 治療後](https://seimitsushinbi.jp/wp/wp-content/uploads/2022/11/5979bc0ba91770cb715b363eb4304206-500x350.jpg?v=1669340986)
インプラント治療の注意事項(リスク・副作用など)
- 外科手術のため、術後に痛みや腫れ、違和感を伴います
- メンテナンスを怠ったり喫煙により、お口の中に大きな悪影響を及ぼすインプラント周囲炎等にかかる可能性があります
- 糖尿病、肝硬変、心臓病等の場合、インプラント治療ができない可能性があります
- 高血圧、貧血・不整脈等の場合、インプラント治療後に治癒不全を招く可能性があります
- 自費診療(保険適用外治療)となります
ワイヤー矯正歯科治療の注意事項(リスク・副作用など)
- 治療中は違和感や痛みが起こることがあります
- 症状により、抜歯が必要な場合があります
- 治療中は歯磨きがしにくくなるため、虫歯や歯周病になりやすくなります
- 矯正治療後の保定が不十分だと後戻り(元の位置に戻ろうとする動き)をします
- 自費診療(保険適用外)となります
マウスピース矯正の注意事項(リスク・副作用など)
- 口腔内・歯並びの状態によっては対応できない場合があります
- マウスピース型矯正装置の長時間装着が必須です
- 治療計画通りに進めるためには、患者様の意志が重要になります
- 矯正治療後の保定が不十分だと後戻り(元の位置に戻ろうとする動き)をします
- 自費診療(保険適用外)となります




