症例・治療例紹介
Cases
セラミック治療 → 前歯クラウン(オールセラミック)
5ページ目 / 73
複数箇所コンポジット充填された前歯をセラミック治療
担当医 大元洋佑


前歯の色・形が気になる オールセラミッククラウンで綺麗に (アライナー矯正併用)


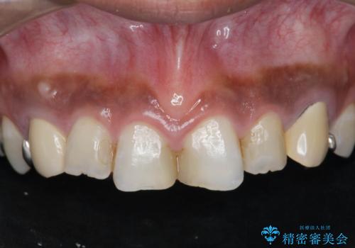
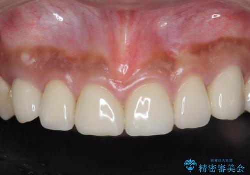
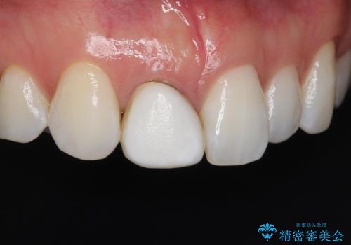
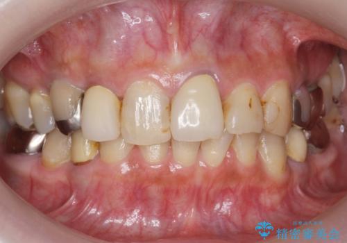
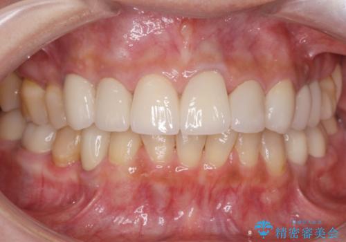
[ 歯ぐきから出血をする ] 歯周外科を伴うセラミックやりかえ治療
![[ 歯ぐきから出血をする ] 歯周外科を伴うセラミックやりかえ治療の症例 治療前](https://seimitsushinbi.jp/wp/wp-content/uploads/2024/12/dad9bd6fd8fdc9454170eb3e86a080a9-500x350.jpg?v=1733474741)
![[ 歯ぐきから出血をする ] 歯周外科を伴うセラミックやりかえ治療の症例 治療後](https://seimitsushinbi.jp/wp/wp-content/uploads/2024/12/39b2ace77ddc630ec8fbb92d0a9c107d-500x350.jpg?v=1733474802)
[ 審美歯科 ] ジルコニアクラウンで自然な歯に
担当医 大元洋佑
![[ 審美歯科 ] ジルコニアクラウンで自然な歯にの症例 治療前](https://seimitsushinbi.jp/wp/wp-content/uploads/2024/11/26c29c0623af09738a394680a84f8f1e-500x350.jpg?v=1731917370)
![[ 審美歯科 ] ジルコニアクラウンで自然な歯にの症例 治療後](https://seimitsushinbi.jp/wp/wp-content/uploads/2024/11/039bc8bb7645fe85edc02d05ef482889-500x350.jpg?v=1731917160)
前歯を綺麗にしたい。


仮歯が汚くて転院 前歯のオールセラミッククラウン治療


50代女性 銀歯をとって白いつめものに 全体的な治療


歯茎に溝が 大きく欠損した前歯のインプラント補綴治療


痛む前歯 破折してしまった歯のインプラント補綴治療


歯が生えてこない インプラントによる補綴治療


上の前歯の色味が気になる オールセラミッククラウン
担当医 有澤哲郎


反対咬合ですり減った前歯とむし歯だらけの奥歯 総合歯科治療


歯の変色を解消!根管治療とセラミック修復による審美的アプローチ
担当医 河口智英


放置した歯列 矯正治療とインプラント治療で劇的に改善
担当医 藤巻太一朗


前歯の審美的なブリッジ (歯列矯正後)


セラミック治療の注意事項(リスク・副作用など)
- 天然歯を削ります
- 硬い素材は天然歯を傷つけてしまう場合があります
- かみ合わせや歯ぎしりが強すぎる方はセラミックが割れてしまう可能性があります
- 自費診療(保険適用外治療)となります
