症例・治療例紹介
Cases
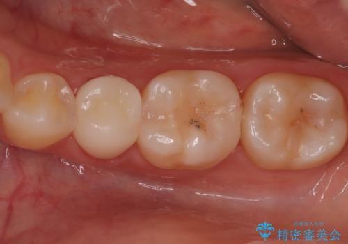
セラミック治療 → 奥歯クラウン(オールセラミック)
24ページ目 / 88
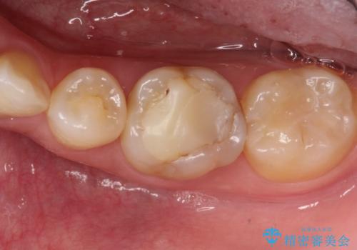
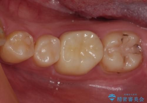
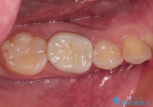
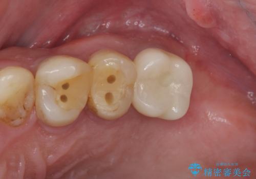
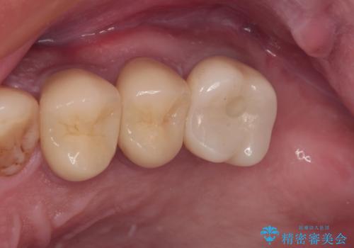
【セラミッククラウン】適合の悪いアンレーのやり替え
担当医 河口智英


割れてしまった奥歯 インプラントによる補綴治療


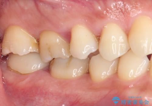
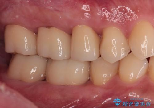
度重なる処置でつぎはぎだらけ オールセラミッククラウンによる補綴治療


むし歯と咬み合わせで奥歯に負担がかかる 総合歯科治療で悩みを改善
担当医 藤巻太一朗


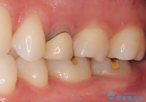
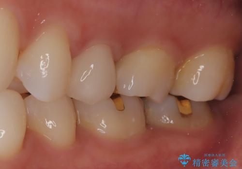
クラウンが外れたままの奥歯 オールセラミッククラウン補綴治療


歯肉が腫れて出血する奥歯 歯周外科処置を用いたセラミック補綴治療


【インプラント】銀歯が取れて歯ごと折れた


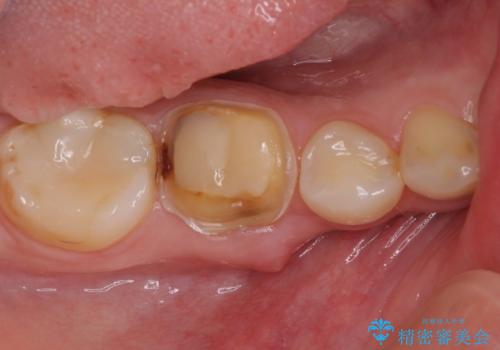
【オールセラミッククラウン】根管治療した歯の被せ物治療
担当医 河口智英


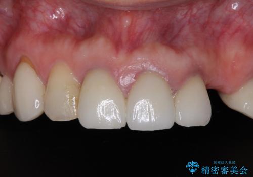
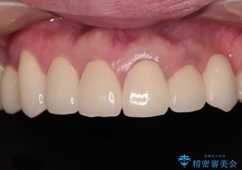
【セラミッククラウン】他院で入れた被せ物を変えたい。
担当医 河口智英


欠損やむし歯の歯をきれいなセラミックに 全顎虫歯治療


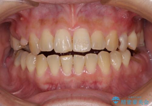
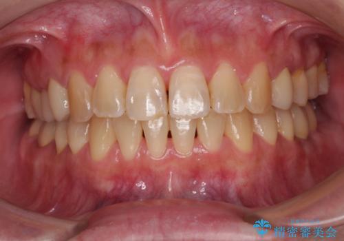
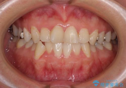
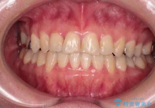
気になる歯列不正とむし歯を治療 インビザライン治療と虫歯治療


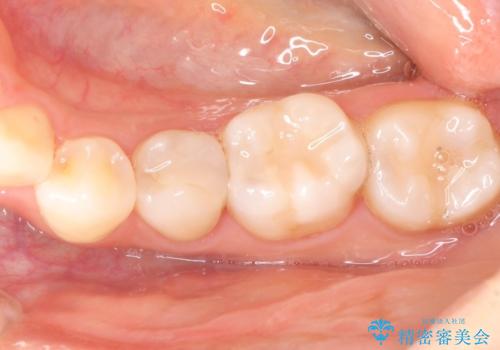
根管治療を行ったままの奥歯 オールセラミッククラウンによる補綴治療


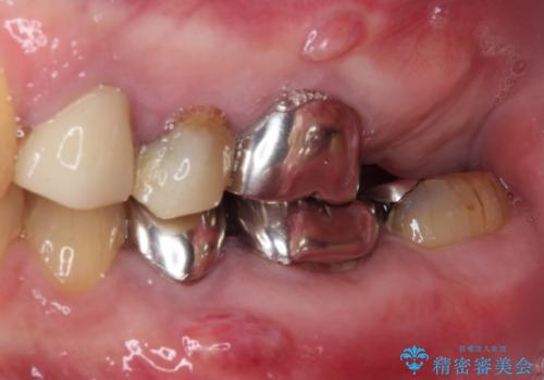
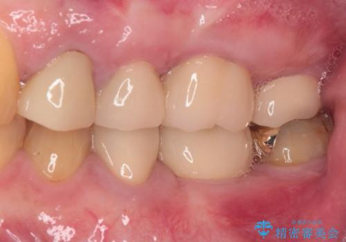
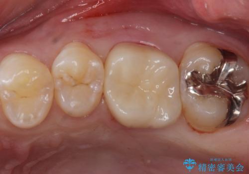
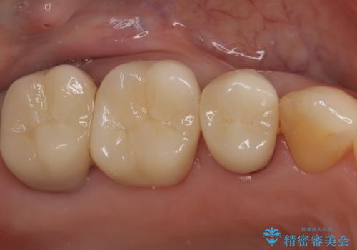
[ フルジルコニアクラウン治療 ] 銀歯を外したい
担当医 大元洋佑
![[ フルジルコニアクラウン治療 ] 銀歯を外したいの症例 治療前](https://seimitsushinbi.jp/wp/wp-content/uploads/2023/06/e91bc94295cd286b9a77624c761fc3dc-500x350.jpg?v=1685951434)
![[ フルジルコニアクラウン治療 ] 銀歯を外したいの症例 治療後](https://seimitsushinbi.jp/wp/wp-content/uploads/2023/06/5a59b739ff9adaba93515f667b19b84c-500x350.jpg?v=1685951438)
フルジルコニアクラウン
担当医 青山卓弘


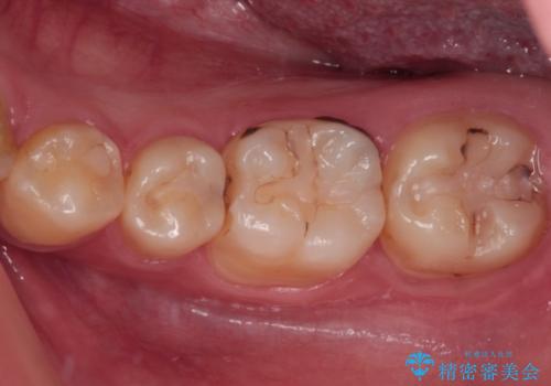
【オールセラミッククラウン】メタルフリー治療


セラミック治療の注意事項(リスク・副作用など)
- 天然歯を削ります
- 硬い素材は天然歯を傷つけてしまう場合があります
- かみ合わせや歯ぎしりが強すぎる方はセラミックが割れてしまう可能性があります
- 自費診療(保険適用外治療)となります
