症例詳細
Case detail
ハーフリンガルで歯列をきれいに セラミック治療で気になる銀歯も自然な色に
- 患者様
- 30代女性
- 矯正装置
- ハーフリンガル
- 治療期間
- 5年4ヶ月
- 治療回数
- 30回以上
- 治療計画
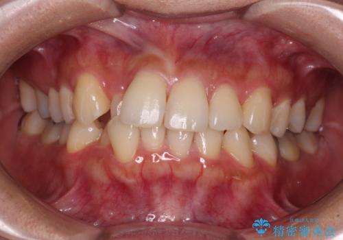
- 前歯のデコボコと前方に斜めに飛び出した前歯を気にして来院された患者様です。
口元の突出感はあまり気になっていませんでしたが、上下の前歯の前後差が大きかったため、上顎左右の第一小臼歯を抜歯し、上顎が裏側装置であるハーフリンガルにて矯正治療を行うこととしました。
途中で、下顎の小臼歯を抜歯する必要があれば、再度診断を行っていくこととしました。
- 費用(概算)
- 治療費の目安: 170万円(税込)費用は治療当時の料金となります
治療について
咬合力が非常に強く、スペースがなかなか閉じなかったことと、上下の正中が著しくずれてきてしまったため、下顎左側小臼歯を途中抜歯することとなりました。
歯の動きが鈍く、矯正治療だけで4年以上の期間を要することとなりました。
矯正治療後は、気になっていた銀歯を全てセラミックとし、きれいな口元に仕上げることができました。
ワイヤー矯正の注意事項(リスク・副作用など)
- 治療中は違和感や痛みが起こることがあります
- 症状により、抜歯が必要な場合があります
- 治療中は歯磨きがしにくくなるため、虫歯や歯周病になりやすくなります
- 矯正治療後の保定が不十分だと後戻り(元の位置に戻ろうとする動き)をします
- 自費診療(保険適用外)となります
セラミック治療の注意事項(リスク・副作用など)
- 天然歯を削ります
- 硬い素材は天然歯を傷つけてしまう場合があります
- かみ合わせや歯ぎしりが強すぎる方はセラミックが割れてしまう可能性があります
- 自費診療(保険適用外治療)となります
当サイトの内容、テキスト、画像等の無断転載、複製、複写、盗用を固く禁じます。


























