症例・治療例紹介
Cases
セラミック治療 → 前歯クラウン(オールセラミック)
21ページ目 / 73
矯正治療が終了し、前歯を治したい
担当医 菊地俊介


笑顔に自信が持てない、前歯のセラミック治療


抜歯と言われた奥歯を残したい 奥歯を保存するセラミック治療


ロードバイク運転中に転倒 欠けてしまった前歯のオールセラミック治療


気になる前歯を短期間で改善 下顎の部分矯正と上顎のオールセラミッククラウン


虫歯と抜いたままの奥歯とデコボコの前歯 総合歯科治療


食事の度に痛む 根管治療とオールセラミッククラウン


目立つ前歯の変色を改善したい
担当医 大元洋佑


変色した前歯を治したい オールセラミッククラウンによる補綴
担当医 齋藤佑磨


穴が開いた前歯 白いクラウンで修復
担当医 岡田康成


インプラント治療を併用した全顎歯周病治療


大きい虫歯で欠けた前歯 セラミッククラウンで治療
担当医 岡田康成


金属の見えてしまったクラウン セラミッククラウンで自然に


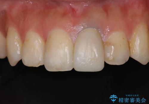
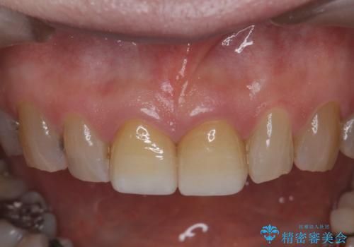
[ セラミック治療 ]前歯を審美的に治して欲しい
担当医 大元洋佑
![[ セラミック治療 ]前歯を審美的に治して欲しいの症例 治療前](https://seimitsushinbi.jp/wp/wp-content/uploads/2022/08/f60640b4691f5044bbd4eee75a49676a-500x350.jpg?v=1660530311)
![[ セラミック治療 ]前歯を審美的に治して欲しいの症例 治療後](https://seimitsushinbi.jp/wp/wp-content/uploads/2022/08/cdb6079410c436ac615cce081dfb206f-500x350.jpg?v=1660530325)
前歯のすき間 以前よりも広がってきた 二度と広がらないようにしたい セラミック治療


セラミック治療の注意事項(リスク・副作用など)
- 天然歯を削ります
- 硬い素材は天然歯を傷つけてしまう場合があります
- かみ合わせや歯ぎしりが強すぎる方はセラミックが割れてしまう可能性があります
- 自費診療(保険適用外治療)となります
