症例詳細
Case detail
前歯が取れた
治療症例の内容
- 診療科目
- 治療カテゴリ
- 担当医
- 青山卓弘(ドクタープロフィール)
- 患者様
- 20代女性
- 治療期間
- 2ヶ月
- 治療回数
- 2-5回
- 治療計画
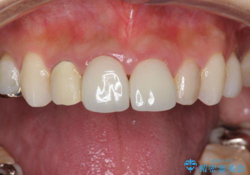
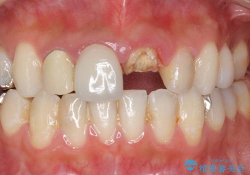
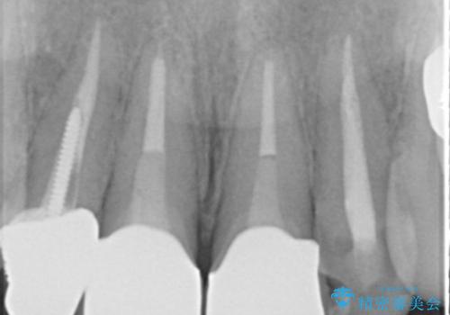
- 過去に他院で治療した前歯が取れたとの事で来院。
被せ物だけでなく中の土台まで取れていました。
歯の根っこのお掃除(根管治療(保険))を行い、土台を立ててセラミックの被せ物で治療しました。
また、隣の歯も被せ物の適合が悪く予後がよくないので根管治療(保険)を行い、セラミックの被せ物で治療を行いました。
- 費用(概算)
- ジルコニアクラウン・仮歯 12.1万円×2費用は治療当時の料金となります
治療について
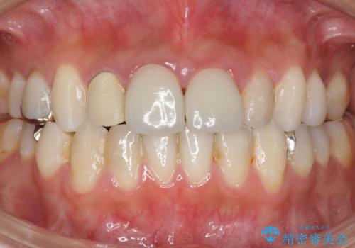
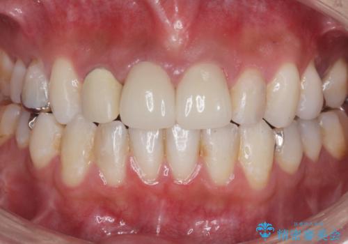
適合が良い被せ物が入りました。
前歯2本同時に行ったため色もピッタリで患者様に満足して頂けました。
被せ物と歯質に隙間があると細菌が入り込むために虫歯になるリスクが高くなります。
セラミック治療の注意事項(リスク・副作用など)
- 天然歯を削ります
- 硬い素材は天然歯を傷つけてしまう場合があります
- かみ合わせや歯ぎしりが強すぎる方はセラミックが割れてしまう可能性があります
- 自費診療(保険適用外治療)となります
その他の注意事項(リスク・副作用など)
- 担当歯科医師、歯科衛生士又は医院スタッフから受けた説明・注意事項をよくご確認ください
- 医療を提供するに当たり、適切な説明を行い、患者様の十分な理解を得るよう努めております
保険治療の注意事項(リスク・副作用など)
- 保険医が保険医療機関において健康保険法、医師法、医療法等の各種関係法令の規定を遵守し、『療養担当規則』の規定を遵守し、医学的に妥当適切な診療を行い、診療報酬点数表に定められたとおりに請求を行っています
- 使用する材料・素材や治療方法に制約があります
- 健康保険適用となります
当サイトの内容、テキスト、画像等の無断転載、複製、複写、盗用を固く禁じます。











