症例詳細
Case detail
飛び出した前歯と目立つ銀歯 矯正とセラミックの総合歯科診療
- 患者様
- 40代男性
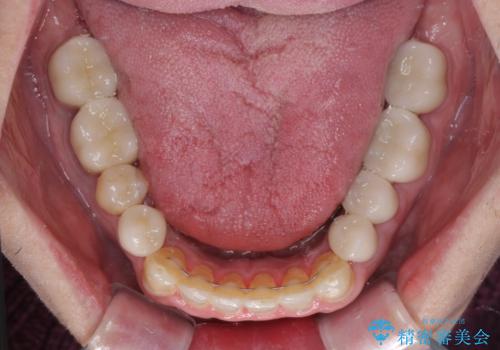
- 矯正装置
- インビザライン・審美装置
- 治療期間
- 2年6ヶ月
- 治療回数
- 10-30回
- 治療計画
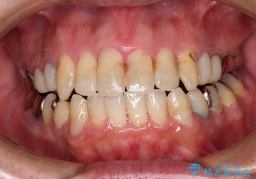
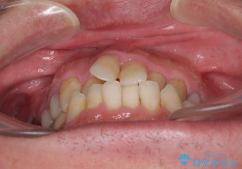
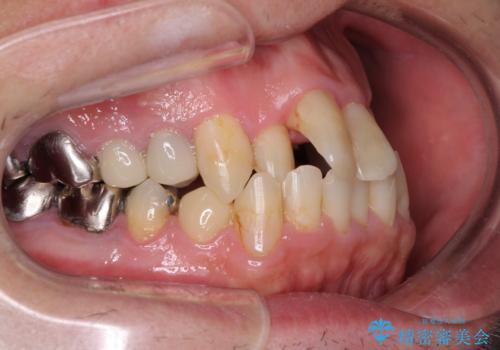
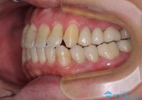
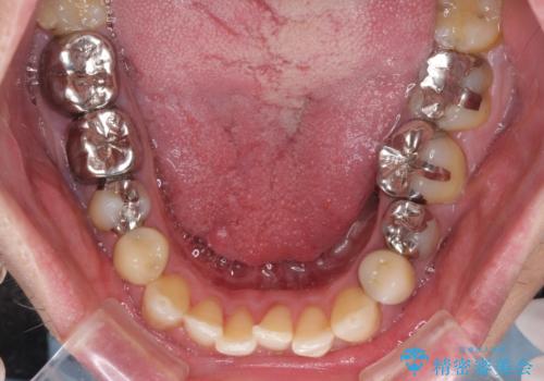
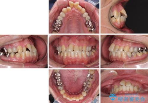
- 飛び出している上顎前歯と、奥歯に多くある銀歯を気にして来院された患者様です。
マウスピースで矯正を行いたい反面、一旦早めに前歯を整えたいというご希望があったため、まずは上顎前歯をワイヤー装置で整え、その後インビザラインにて仕上げていくこととしました。
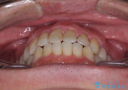
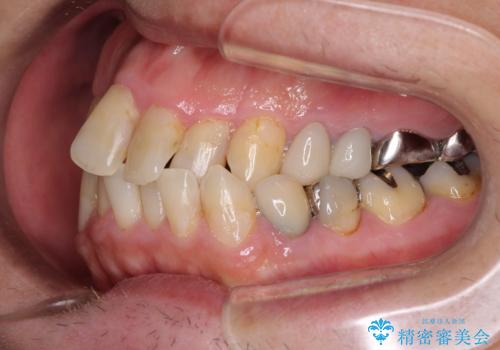
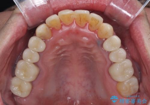
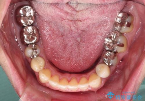
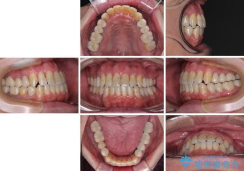
矯正治療後には、奥歯の銀歯をすべてセラミックにて補綴治療することとしました。
- 費用(概算)
- 治療費の目安: 340万円(税込)費用は治療当時の料金となります
治療について
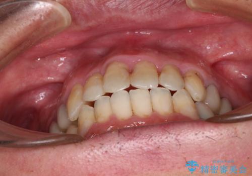
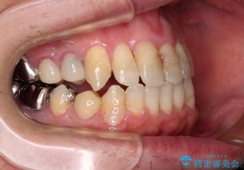
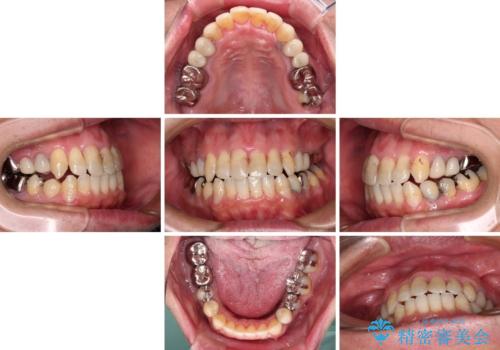
ワイヤー矯正を併用したことで、上顎前歯はあっという間に整いました。
補綴治療にあたり、痛みのある歯に対して根管治療を行うこととしましたが、処置が必要な歯が多かったため、期間を要しました。
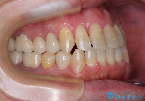
補綴治療中に前歯のデコボコが戻ってしまったため、補綴治療後にインビザラインを1セット追加して仕上げました。
マウスピース矯正の注意事項(リスク・副作用など)
- 口腔内・歯並びの状態によっては対応できない場合があります
- マウスピース型矯正装置の長時間装着(1日20時間以上)が必須です
- 治療計画通りに進めるためには、患者様の意志が重要になります
- 矯正治療後の保定が不十分だと後戻り(元の位置に戻ろうとする動き)をします
- 薬機法対象外の矯正歯科装置のため医薬品副作用被害救済制度の対象外となる場合があります
- 自費診療(保険適用外)となります
セラミック治療の注意事項(リスク・副作用など)
- 天然歯を削ります
- 硬い素材は天然歯を傷つけてしまう場合があります
- かみ合わせや歯ぎしりが強すぎる方はセラミックが割れてしまう可能性があります
- 自費診療(保険適用外治療)となります
当サイトの内容、テキスト、画像等の無断転載、複製、複写、盗用を固く禁じます。






























