症例・治療例紹介
Cases
セラミック治療 → 前歯クラウン(オールセラミック)
2ページ目 / 73
破折した前歯のインプラント 1DAYインプラントで短期間治療


前歯の色が気になる!|オールセラミッククラウン
担当医 河野豊嘉


全顎 虫歯 インプラント治療


変色した歯をきれいにしたい セラミック治療


転んで欠けてしまった歯の治療 根管治療とオールセラミッククラウンによる補綴


受け口傾向の咬み合わせを治したい 全顎セラミック治療


前歯のデコボコとむし歯治療の跡 インビザライン矯正とオールセラミッククラウン治療


欠損して隙間のある前歯 オールセラミッククラウンで自然な口元に


むし歯と八重歯を治したい 総合歯科治療


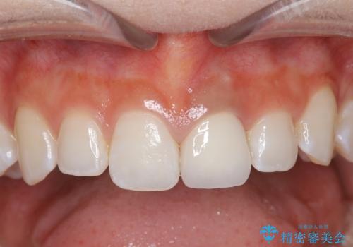
[ セラミック治療 ] 仮歯で放置した前歯をきれいにしたい
担当医 大元洋佑
![[ セラミック治療 ] 仮歯で放置した前歯をきれいにしたいの症例 治療前](https://seimitsushinbi.jp/wp/wp-content/uploads/2025/05/6890296d4c82e781ad96061d3f6d4f20-500x350.jpg?v=1746172426)
![[ セラミック治療 ] 仮歯で放置した前歯をきれいにしたいの症例 治療後](https://seimitsushinbi.jp/wp/wp-content/uploads/2025/05/81a7c44674b0a5de5dd831ff43275a2e-500x350.jpg?v=1746172464)
矮小歯を伴う叢生を審美的に改善|インビザライン矯正+セラミッククラウン修復


前歯の開咬とシザーズバイトを改善|インビザライン矯正


以前の治療箇所が痛む 全顎的なむし歯治療


不具合の多い前歯 オールセラミックブリッジ治療


メンテナンスで10年後のセラミック


セラミック治療の注意事項(リスク・副作用など)
- 天然歯を削ります
- 硬い素材は天然歯を傷つけてしまう場合があります
- かみ合わせや歯ぎしりが強すぎる方はセラミックが割れてしまう可能性があります
- 自費診療(保険適用外治療)となります
