症例・治療例紹介
Cases
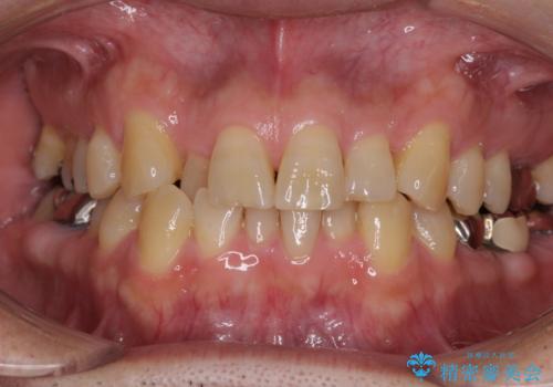
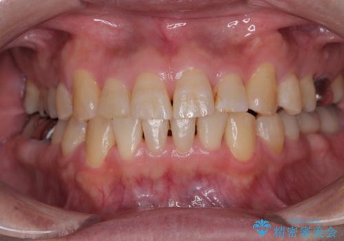
総合歯科治療 → 歯周病治療&矯正歯科治療
1ページ目 / 2
- 歯がボロボロで咬合崩壊 矯正・インプラント・セラミックで実現する、酸蝕症の総合治療- 担当医 河口智英   
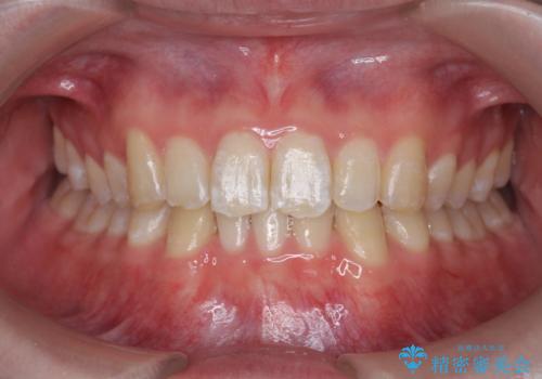
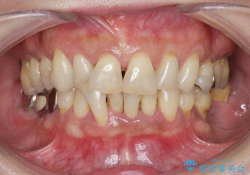
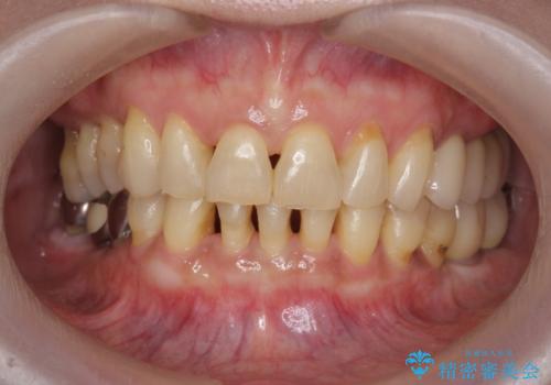
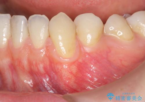
- 歯周病 、インプラント、 矯正 全顎治療- 担当医 大元洋佑   
- 激痛の奥歯のむし歯治療 折角なので矯正治療もしたい  
- 隙間をセラミックで閉じたら不格好で歯肉から出血 矯正治療と歯周外科で綺麗な前歯に  
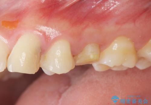
- [ 歯周病・矯正・セラミック治療 ] 1つの医院で行う包括的歯科治療- 担当医 大元洋佑 ![[ 歯周病・矯正・セラミック治療 ] 1つの医院で行う包括的歯科治療の症例 治療前](https://seimitsushinbi.jp/wp/wp-content/uploads/2023/10/IMG_6364-500x350.jpg?v=1697786419) ![[ 歯周病・矯正・セラミック治療 ] 1つの医院で行う包括的歯科治療の症例 治療後](https://seimitsushinbi.jp/wp/wp-content/uploads/2023/10/90d18252b8dbe1975afad5c7598b2fb5-500x350.jpg?v=1697785801) 
- 歯茎が薄い方へのインビザライン治療、歯肉退縮予防  
- 前歯部 インプラント治療  
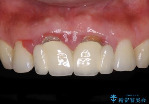
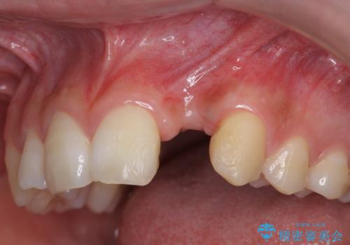
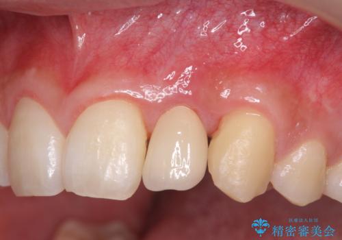
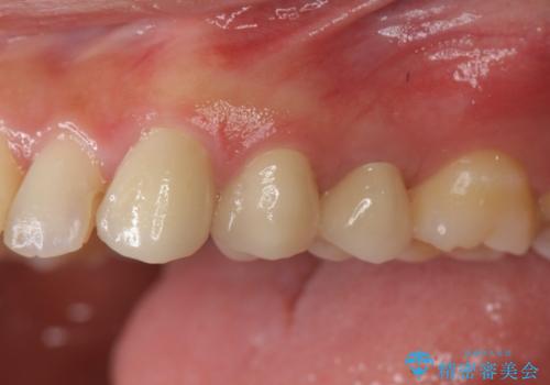
- [ 再生治療・歯周外科・小矯正・セラミック補綴 ] 前歯の歯周病治療- 担当医 大元洋佑 ![[ 再生治療・歯周外科・小矯正・セラミック補綴 ]  前歯の歯周病治療の症例 治療前](https://seimitsushinbi.jp/wp/wp-content/uploads/2022/12/83065c2454a29ed71cf190e15a6106f4-500x350.jpg?v=1671673398) ![[ 再生治療・歯周外科・小矯正・セラミック補綴 ]  前歯の歯周病治療の症例 治療後](https://seimitsushinbi.jp/wp/wp-content/uploads/2022/12/ec16e37ee53325a6f6629b94759f5513-500x350.jpg?v=1671673454) 
- 挺出小矯正を行った縁下カリエス治療  
- クロスバイト・歯並びが原因の歯肉退縮歯、矯正治療による審美性の改善  
- 前歯のすれ違いによる歯周病を矯正治療で改善- 担当医 大元洋佑   
- 歯茎の下がりが気になる 歯肉移植でさがりにくくする- 担当医 井上季実子   
- 歯列不正と歯周病 総合歯科治療による全顎治療- 担当医 藤巻太一朗   
ワイヤー矯正歯科治療の注意事項(リスク・副作用など)
- 治療中は違和感や痛みが起こることがあります
- 症状により、抜歯が必要な場合があります
- 治療中は歯磨きがしにくくなるため、虫歯や歯周病になりやすくなります
- 矯正治療後の保定が不十分だと後戻り(元の位置に戻ろうとする動き)をします
- 自費診療(保険適用外)となります
マウスピース矯正の注意事項(リスク・副作用など)
- 口腔内・歯並びの状態によっては対応できない場合があります
- マウスピース型矯正装置の長時間装着が必須です
- 治療計画通りに進めるためには、患者様の意志が重要になります
- 矯正治療後の保定が不十分だと後戻り(元の位置に戻ろうとする動き)をします
- 自費診療(保険適用外)となります
歯周病治療の注意事項(リスク・副作用など)
- 外科手術のため、術後に痛みや腫れ、違和感を伴います
- 歯周組織再生治療は患者様の状態によって術後の経過が異なります(見た目が改善しない場合もあります)
- 歯周組織再生治療は自費診療(保険適用外)となります








 
                      


