症例・治療例紹介
Cases
総合歯科治療 → インプラント治療&矯正歯科治療
1ページ目 / 3
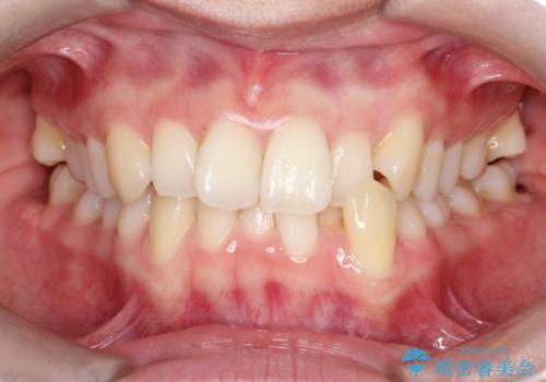
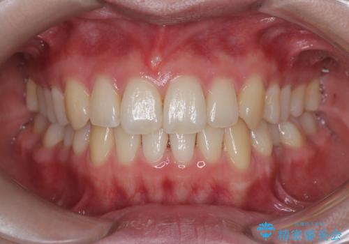
膨らんだ口元を改善する抜歯矯正 インプラント治療も同時に行う総合歯科治療


銀歯を白くしたい 一緒に矯正治療も行ない美しい口腔内に


奥歯の欠損と前歯のデコボコを治したい インプラントと矯正治療の総合歯科治療


歯がボロボロで咬合崩壊 矯正・インプラント・セラミックで実現する、酸蝕症の総合治療
担当医 河口智英


大臼歯の欠損をインプラントを使わず矯正で閉鎖|親知らずの活用による咬合改善


右下5番の先天欠如と前歯の叢生に対するワイヤー矯正とインプラント治療


歯周病 、インプラント、 矯正 全顎治療
担当医 大元洋佑


インビザラインによる矯正治療と奥歯のインプラント治療


前歯のガタガタと欠損部を改善


あきらめないで!!虫歯でボロボロでも大丈夫! 非抜歯矯正と虫歯、インプラント治療で見違える歯並びに。


受け口を治す ワイヤー装置での矯正治療


放置した歯列 矯正治療とインプラント治療で劇的に改善
担当医 藤巻太一朗


治療中で放置 インプラントでしっかりと咬めるように


部分矯正で咬み合わせを改善 奥歯のインプラント治療


インプラント治療の注意事項(リスク・副作用など)
- 外科手術のため、術後に痛みや腫れ、違和感を伴います
- メンテナンスを怠ったり喫煙により、お口の中に大きな悪影響を及ぼすインプラント周囲炎等にかかる可能性があります
- 糖尿病、肝硬変、心臓病等の場合、インプラント治療ができない可能性があります
- 高血圧、貧血・不整脈等の場合、インプラント治療後に治癒不全を招く可能性があります
- 自費診療(保険適用外治療)となります
ワイヤー矯正歯科治療の注意事項(リスク・副作用など)
- 治療中は違和感や痛みが起こることがあります
- 症状により、抜歯が必要な場合があります
- 治療中は歯磨きがしにくくなるため、虫歯や歯周病になりやすくなります
- 矯正治療後の保定が不十分だと後戻り(元の位置に戻ろうとする動き)をします
- 自費診療(保険適用外)となります
マウスピース矯正の注意事項(リスク・副作用など)
- 口腔内・歯並びの状態によっては対応できない場合があります
- マウスピース型矯正装置の長時間装着が必須です
- 治療計画通りに進めるためには、患者様の意志が重要になります
- 矯正治療後の保定が不十分だと後戻り(元の位置に戻ろうとする動き)をします
- 自費診療(保険適用外)となります


