症例詳細
Case detail
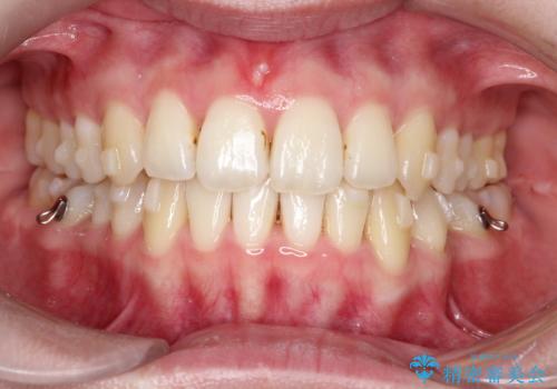
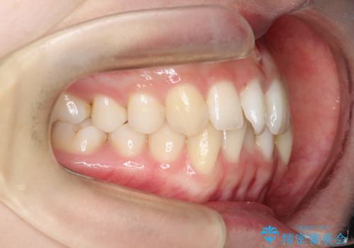
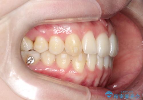
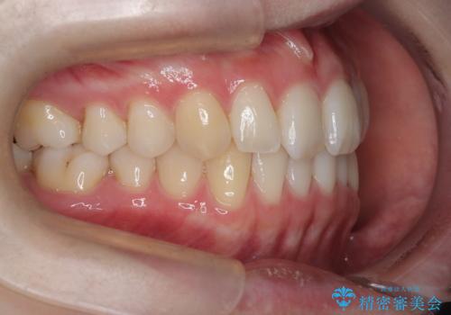
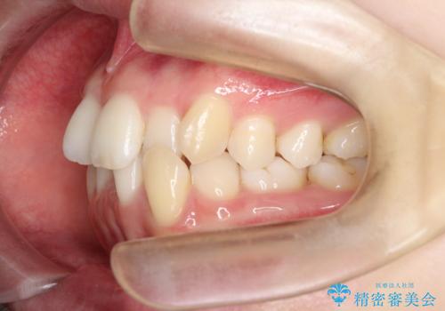
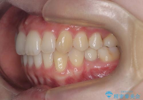
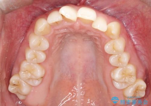
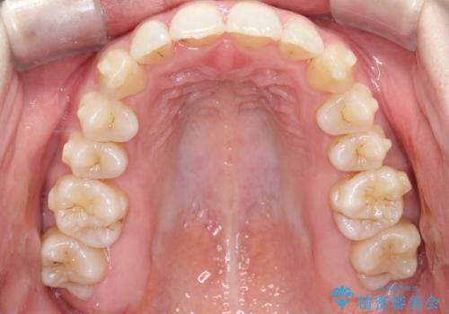
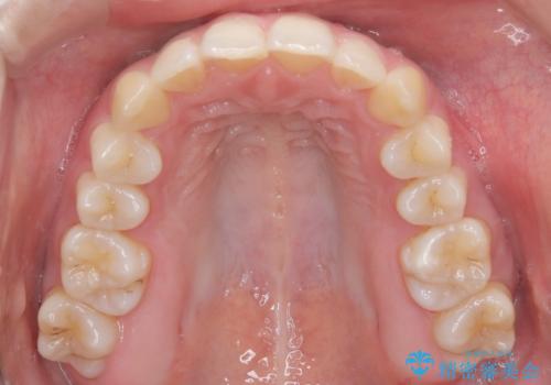
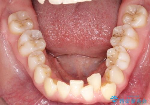
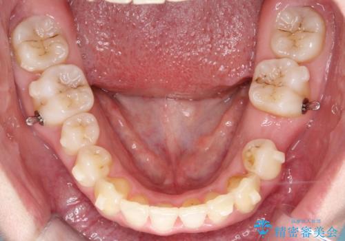
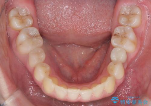
前歯のガタガタと欠損部を改善
治療症例の内容
- 治療カテゴリ
- 担当医
- 河口智英(ドクタープロフィール)
- 患者様
- 20代女性
- 治療期間
- 2年
- 治療回数
- 30回以上
- 治療計画
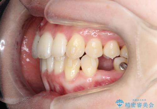
- 患者様は、前歯のガタガタ(叢生)と左下5番の欠損部が気になるとのことで来院されました。診断の結果、インビザラインを用いて前歯の叢生を整えながら、左下5番の欠損部にはインプラント治療を計画しました。矯正治療により、歯並びを改善すると同時に、噛み合わせのバランスも向上させることを目標としました。矯正期間とインプラントの治療計画を並行して進めることで、患者様のご希望に応えるプランを立てました。
- 費用(概算)
- 100万円費用は治療当時の料金となります
治療について
前歯の叢生改善のため、インビザラインによる透明で目立たない矯正装置を使用しました。治療中は、歯の移動による負担を最小限に抑えつつ、歯列全体のバランスを考慮して進めました。左下5番の欠損部には、矯正終了後にインプラントを埋入し、自然で機能的な咬合を回復しました。治療期間中、患者様には装置の正しい装着と日々の清掃を徹底していただき、歯肉やインプラント周囲の健康を保つようサポートしました。結果として、美しい歯並びと快適な噛み合わせを両立させることができました。
マウスピース矯正の注意事項(リスク・副作用など)
- 口腔内・歯並びの状態によっては対応できない場合があります
- マウスピース型矯正装置の長時間装着(1日20時間以上)が必須です
- 治療計画通りに進めるためには、患者様の意志が重要になります
- 矯正治療後の保定が不十分だと後戻り(元の位置に戻ろうとする動き)をします
- 薬機法対象外の矯正歯科装置のため医薬品副作用被害救済制度の対象外となる場合があります
- 自費診療(保険適用外)となります
インプラント治療の注意事項(リスク・副作用など)
- 外科手術のため、術後に痛みや腫れ、違和感を伴います
- メンテナンスを怠ったり喫煙により、お口の中に大きな悪影響を及ぼすインプラント周囲炎等にかかる可能性があります
- 糖尿病、肝硬変、心臓病等の場合、インプラント治療ができない可能性があります
- 高血圧、貧血・不整脈等の場合、インプラント治療後に治癒不全を招く可能性があります
- 自費診療(保険適用外治療)となります
当サイトの内容、テキスト、画像等の無断転載、複製、複写、盗用を固く禁じます。















