症例・治療例紹介
Cases
インプラント治療 → 前歯インプラント
1ページ目 / 5
転んで折れてしまった前歯 インプラント補綴治療


折れた前歯を即時インプラントで回復


ニューヨークから1泊で通院 1DAYインプラント


破折した前歯のインプラント 1DAYインプラントで短期間治療


前歯4本のセラミック治療|抜歯即時インプラント+歯根端切除術で機能と美しさを回復


虫歯・噛み合わせ・インプラント、全顎総合治療
担当医 大元洋佑


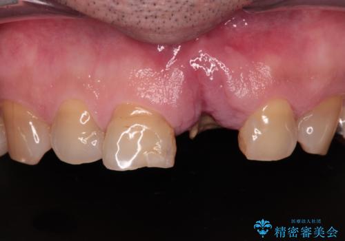
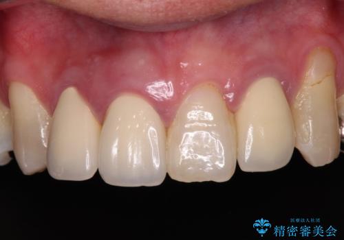
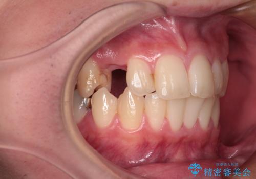
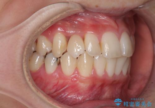
[ 乳歯の残存 ] 前歯のインプラント治療
![[ 乳歯の残存 ] 前歯のインプラント治療の症例 治療前](https://seimitsushinbi.jp/wp/wp-content/uploads/2025/01/56e81c0e80b6afc81f4533415a35e537-500x350.jpg?v=1737944679)
![[ 乳歯の残存 ] 前歯のインプラント治療の症例 治療後](https://seimitsushinbi.jp/wp/wp-content/uploads/2025/01/6eaf73b3367bd4d0447513f97e9920b2-500x350.jpg?v=1737944724)
歯茎に溝が 大きく欠損した前歯のインプラント補綴治療


痛む前歯 破折してしまった歯のインプラント補綴治療


歯が生えてこない インプラントによる補綴治療


放置した歯列 矯正治療とインプラント治療で劇的に改善
担当医 藤巻太一朗


【1Dayインプラント】審美性を考えたインプラント


抜歯即時インプラント⇒即日仮歯


インプラント治療の注意事項(リスク・副作用など)
- 外科手術のため、術後に痛みや腫れ、違和感を伴います
- メンテナンスを怠ったり喫煙により、お口の中に大きな悪影響を及ぼすインプラント周囲炎等にかかる可能性があります
- 糖尿病、肝硬変、心臓病等の場合、インプラント治療ができない可能性があります
- 高血圧、貧血・不整脈等の場合、インプラント治療後に治癒不全を招く可能性があります
- 自費診療(保険適用外治療)となります




